产品中心

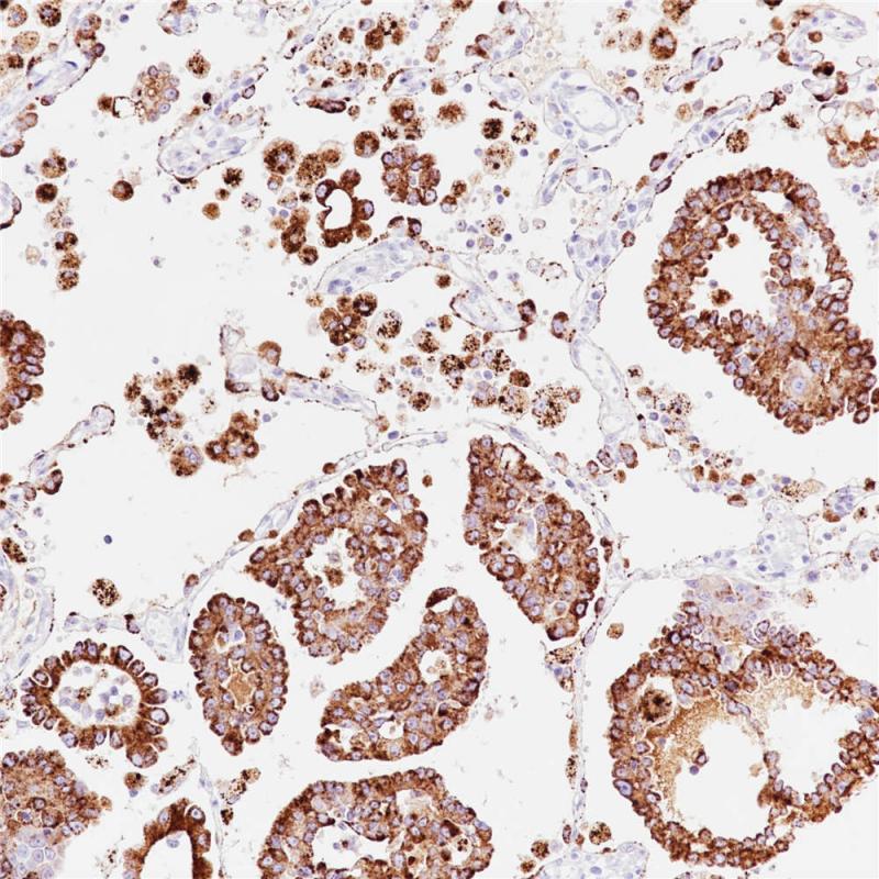
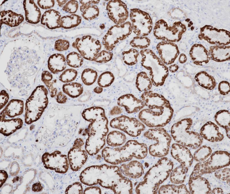
AMACR/p504s 重组兔单克隆抗体

AMACR/p504s是脂肪酸支链β氧化酶中的重要酶。AMACR在前列腺腺癌中高表达,而在良性前列腺组织则不表达。 AMACR的表达也可检测前列腺癌前病变,如:前列腺上皮内肿瘤(PIN)和非典型腺瘤增生。AMACR作为阳性标记连同作为阴性标记的基底细胞(34bE12/P63)一起染色,有助于确症PIN和前列腺癌小病灶。

Specifications

目录号
BX50110
克隆号
BP6115
阳性对照
亚细胞定位
细胞质
组织类型
FFPE
修复方式
HIER
稀释比
1:100-1:200
规格
100μl/vial, 1ml/vial
用途
RUO

Reference

1.Schmitz W., J. Biochem. 231:815-822(1995).
2.Ghosh D., Berg J.M. J. Am. Chem. Soc. 132:3973-3979(2010).

Support Documents

Contact Us

Address
浙江省杭州市滨江区滨安路688号天和高科技园区5号楼1303室
310052
Phone & Fax
+400-8769-741
+0571-88177680
Web & Mail

Follow Us

Scan QR Codes on Your Phone