产品中心

EGFR(L858R) 重组兔单克隆抗体

EFGR L858R为EGFR的其中一种基因突变类型,其突变主要发生在18/19/20/21外显子,21外显子编码的第858个氨基酸因为mRNA的第2553位密码子T置换为G使得编码氨基酸由亮氨酸(英文缩写为L)变成了精氨酸(英文缩写为R),上述突变引起EGFR下游通路的激活,导致肿瘤的发生。

Specifications

目录号
BX50093
克隆号
BP6098
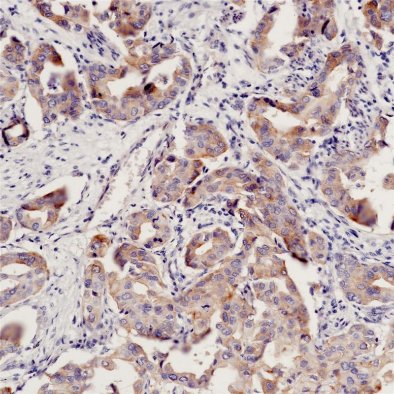
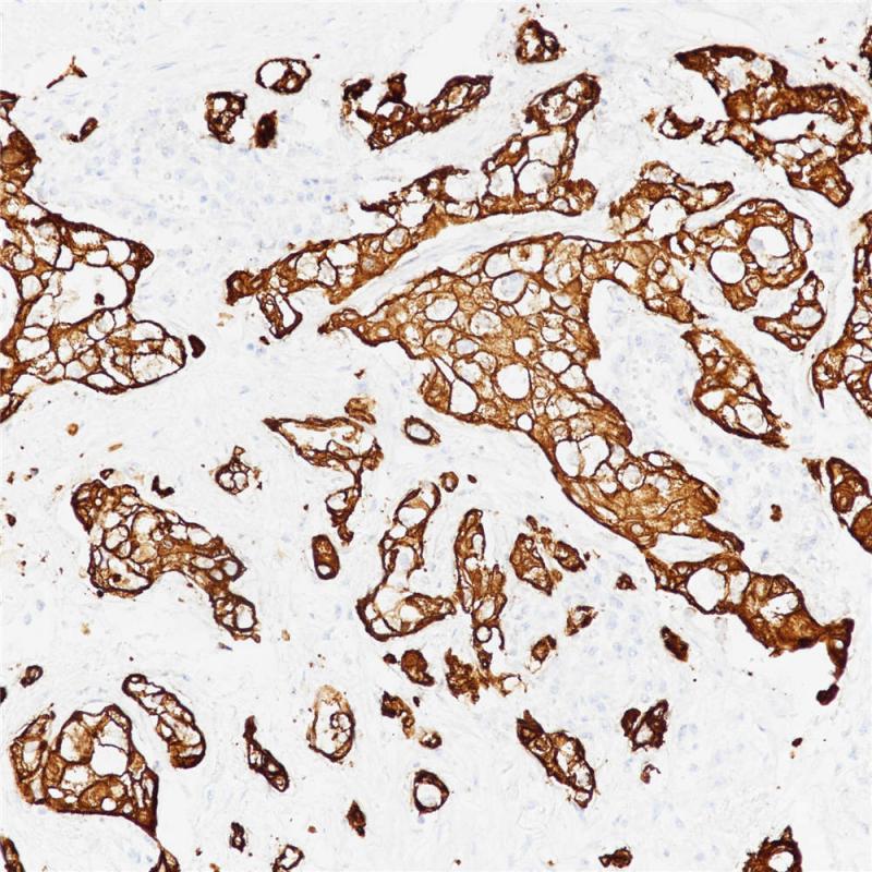
阳性对照
肺癌
亚细胞定位
细胞膜/细胞质
组织类型
FFPE
修复方式
HIER
稀释比
1:100-1:200
规格
100μl/vial, 1ml/vial
用途
RUO

Reference

1.Koo JS, et al. Neoplasma. 2011; 58(1):27-34.
2. Lu X,Yu L, et al. MedResRev2018;38:1550–1581.

Support Documents

Contact Us

Address
浙江省杭州市滨江区滨安路688号天和高科技园区5号楼1303室
310052
Phone & Fax
+400-8769-741
+0571-88177680
Web & Mail

Follow Us

Scan QR Codes on Your Phone