产品中心

EGFR 重组兔单克隆抗体

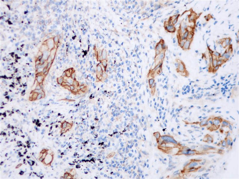
EGFR是一种170kDa的跨膜蛋白,由胞外功能区(结合配体)、跨膜区和具有酪氨酸激酶活性的胞内区组成。EGFR表达于多种正常组织,特别是复层上皮和鳞状上皮的基底层。在许多上皮源性肿瘤中均有过表达现象,如乳腺癌、膀胱癌、胰腺癌、胃癌及甲状腺癌等,其阳性表达表明预后差。

Specifications

目录号
BX50092
克隆号
BP6097
阳性对照
肺癌
亚细胞定位
细胞膜/细胞质
组织类型
FFPE
修复方式
HIER
稀释比
1:100-1:200
规格
100μl/vial, 1ml/vial
用途
RUO

Reference

1.Brustmann H, et al. Int J Gynecol Pathol. 2011 Jan; 30(1):76-83.
2.Vranic S, et al. Hum Pathol. 2010 Nov; 41(11):1617-23.

Support Documents

Contact Us

Address
浙江省杭州市滨江区滨安路688号天和高科技园区5号楼1303室
310052
Phone & Fax
+400-8769-741
+0571-88177680
Web & Mail

Follow Us

Scan QR Codes on Your Phone