产品中心

SALL4 重组兔单克隆抗体

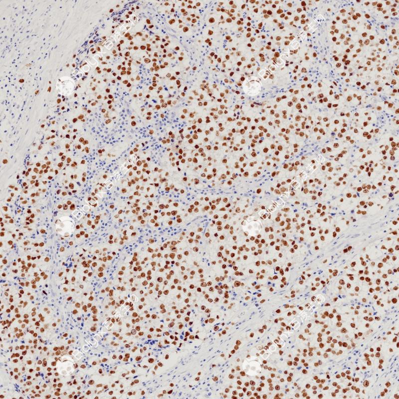
SALL基因家族成员编码锌指转录因子,在发育过程中高度表达。Sall-like蛋白4 (SALL4)是胚胎多能性的主要调节因子,并参与干细胞活动相关的过程。正常睾丸的精原细胞中也有SALL4的表达。SALL4在生殖细胞中的表达使其成为生殖细胞肿瘤如精原细胞瘤、胚胎癌、卵黄囊瘤和畸胎瘤的有用标记物。

Specifications

目录号
BX50268
克隆号
BP6245
阳性对照
精原细胞瘤
亚细胞定位
细胞核
组织类型
FFPE
修复方式
HIER
稀释比
1:100-1:200
规格
100μl/vial, 1ml/vial
用途
RUO

Reference

1. Reimer M et al. BMC Dev Biol 19:16 (2019).
2. Tahara N et al. Development 146:N/A (2019).

Support Documents

Contact Us

Address
浙江省杭州市滨江区滨安路688号天和高科技园区5号楼1303室
310052
Phone & Fax
+400-8769-741
+0571-88177680
Web & Mail

Follow Us

Scan QR Codes on Your Phone