产品中心

CD44 重组兔单克隆抗体

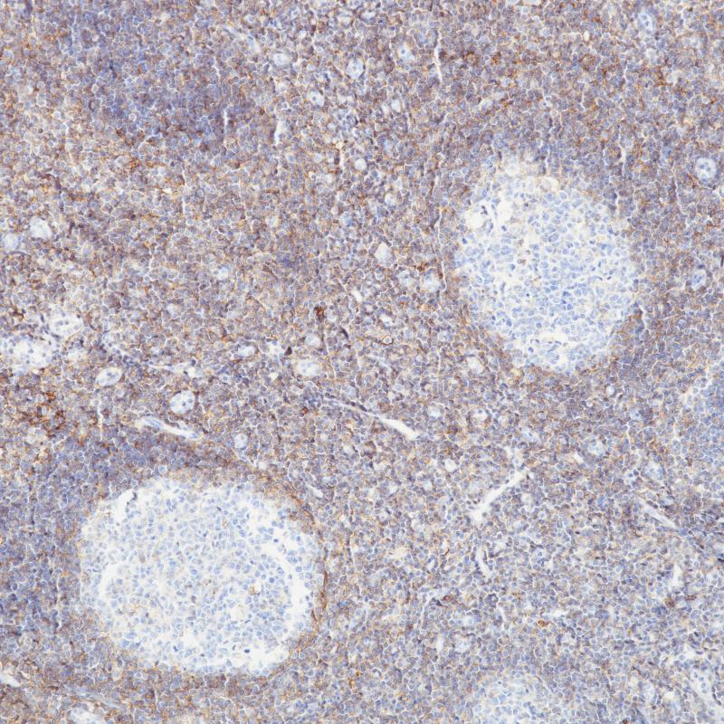
CD44属介导细胞与细胞外基质作用的细胞粘附分子家族(Cams)成员。该蛋白位于细胞表面,可与细胞骨架蛋白相互作用,主要表达于部分腺泡和导管的肌上皮的基膜面。CD44还与淋巴细胞的活化和归巢以及肿瘤的侵袭具有一定的相关性。常用于各种恶性肿瘤如乳腺癌、消化道肿瘤及肺癌的研究。

Specifications

目录号
BX50127
克隆号
BP6131
阳性对照
扁桃体
亚细胞定位
细胞膜
组织类型
FFPE
修复方式
HIER
稀释比
1:100-1:200
规格
100μl/vial, 1ml/vial
用途
RUO

Reference

1.Mansoori M  et al. Exp Mol Pathol 109:25-35 (2019). 
2.Song Y  et al. Sci Rep 8:16100 (2018). 

Support Documents

Contact Us

Address
浙江省杭州市滨江区滨安路688号天和高科技园区5号楼1303室
310052
Phone & Fax
+400-8769-741
+0571-88177680
Web & Mail

Follow Us

Scan QR Codes on Your Phone