产品中心

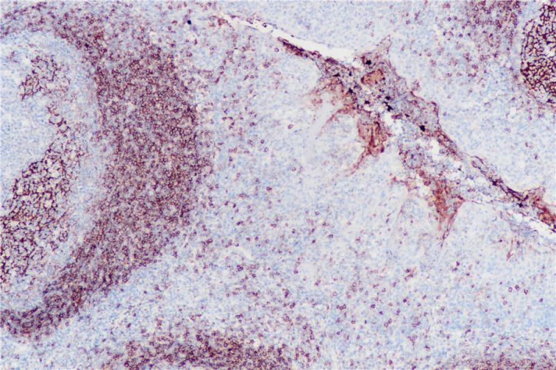
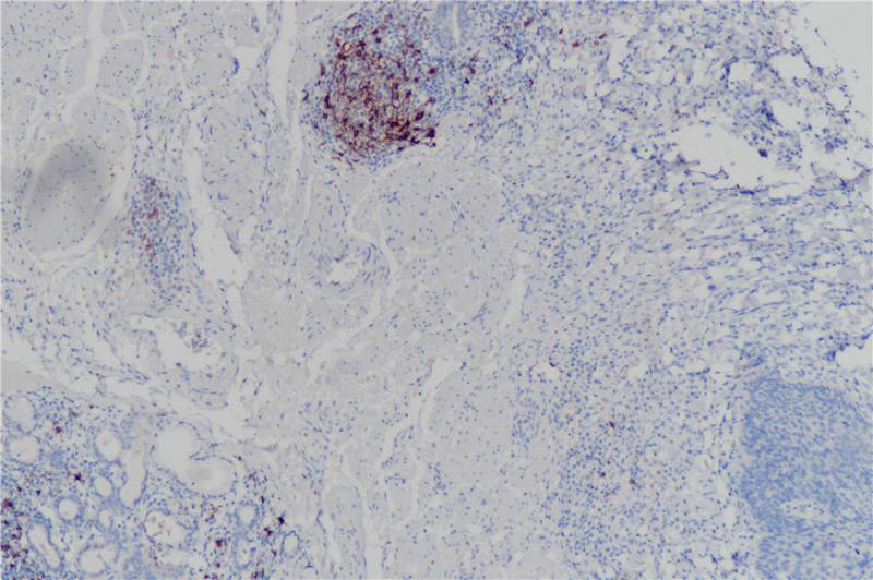
CD23 重组兔单克隆抗体

CD23抗原是一种在多种造血细胞中表达的跨膜糖蛋白,作为IgE的低亲和力受体并参与调节IgE产生。CD23在一些成熟的B细胞淋巴瘤和霍奇金淋巴瘤的R-S细胞中表达。滤泡树突状细胞和生发中心内活化的B细胞会密集表达CD23,而外套层区域的B细胞染色却较弱。大多数慢性淋巴细胞白血病/小淋巴细胞淋巴瘤表现为CD23阳性,而套细胞淋巴瘤通常为CD23阴性。CD23已被证明有助于区分小淋巴细胞淋巴瘤和套细胞淋巴瘤。

Specifications

目录号
BX50044
克隆号
BP6049
阳性对照
扁桃体
亚细胞定位
细胞膜
组织类型
FFPE
修复方式
HIER
稀释比
1:100-1:200
规格
100μl/vial, 1ml/vial
用途
RUO

Reference

1.Olteanu H, et al. Am J Clin Pathol. 2011 Jan;135(1):46-53.
2.Kumar S, et al. Mod Pathol. 1996 Sep;9(9):925-9.

Support Documents

Contact Us

Address
浙江省杭州市滨江区滨安路688号天和高科技园区5号楼1303室
310052
Phone & Fax
+400-8769-741
+0571-88177680
Web & Mail

Follow Us

Scan QR Codes on Your Phone