产品中心

CD20 重组兔单克隆抗体

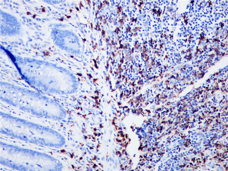
CD20是一种膜内嵌的非糖基磷酸化蛋白分子,分子量约为33kDa,在B细胞活化、分化和增殖中起重要的调节作用。CD20抗原是一种B细胞分化抗原,临床应用为诊断识别B系非霍奇金淋巴瘤(NHL),还可帮助诊断结节性淋巴细胞优势型霍奇金淋巴瘤和急性淋巴细胞瘤。

Specifications

目录号
BX50002
克隆号
BP6006
阳性对照
扁桃体
亚细胞定位
细胞膜
组织类型
FFPE
修复方式
HIER
稀释比
1:100-1:200
规格
100μl/vial, 1ml/vial
用途
RUO

Reference

1.N Johnson., et al. Blood 2009 113:3773-3780.
2.Clark EA., et al. Proc Natl Acad Sci U S A 1985;82:1766-1770.

Support Documents

Contact Us

Address
浙江省杭州市滨江区滨安路688号天和高科技园区5号楼1303室
310052
Phone & Fax
+400-8769-741
+0571-88177680
Web & Mail

Follow Us

Scan QR Codes on Your Phone