产品中心

Lamin B1 重组兔单克隆抗体

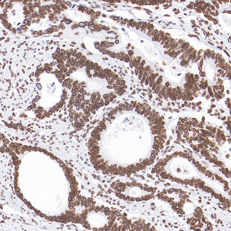
核纤层蛋白B1(Lamin B1)由LMNB1基因编码,除了维持细胞核的结构和完整性外,还在细胞增殖和衰老、染色体分布和聚集、基因表达、DNA复制和DNA损伤修复等方面发挥着重要的调控作用。Lamin B1的过度表达与多种侵袭性恶性肿瘤存在紧密联系,这些肿瘤涵盖肝细胞癌(HCC)、胶质母细胞瘤、胰腺导管腺癌(PDAC)以及结直肠癌等。

Specifications

目录号
BX50348
克隆号
BP6316
阳性对照
结肠癌
亚细胞定位
Nucleus inner membrane
组织类型
FFPE
修复方式
HIER
稀释比
1:100-1:200
规格
100μl/vial, 1ml/vial
用途
RUO

Reference

1. Ma, L. et al. (2023) Bioact Mater 19:626-641.
2. Huang, Z. et al. (2023) EMBO Rep 24:e56135.

Support Documents

Contact Us

Address
浙江省杭州市滨江区滨安路688号天和高科技园区5号楼1303室
310052
Phone & Fax
+400-8769-741
+0571-88177680
Web & Mail

Follow Us

Scan QR Codes on Your Phone