产品中心

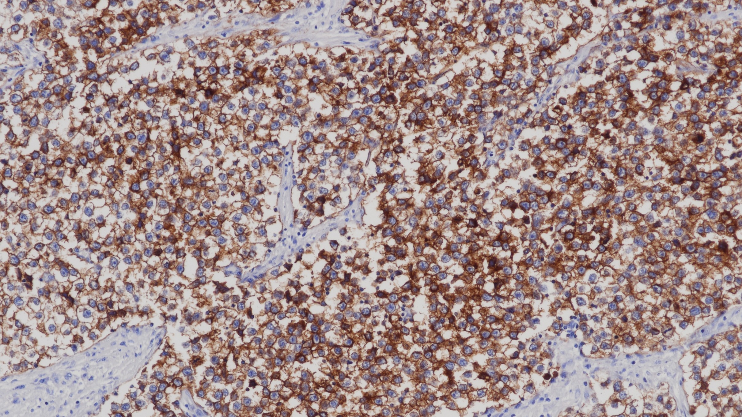
c-MYC 重组兔单克隆抗体

MYC基因是目前研究最多的一类核蛋白类癌基因,包括C-MYC、N-MYC、L-MYC、R-MYC4种。C-MYC原癌基因是最常见的活化原癌基因之一,参与调控的癌症占人类所患癌症的20%左右,受C-MYC原癌基因影响致死的癌症患者每年可达几十万。MYC是一种作用广泛的转录因子,它通过多种机制调节细胞的分化和增殖,包括靶基因的转录扩增。临床上常用于淋巴瘤的鉴别诊断,以及乳腺癌,结肠癌和膀胱癌等肿瘤的预后诊断。

Specifications

产品注册名称
c-MYC抗体试剂(免疫组织化学)
目录号
I1199
克隆号
BP6195
亚细胞定位
细胞核
阳性对照
伯基特淋巴瘤
修复方式
HIER
组织类型
FFPE
规格
浓缩液:0.1mL/1mL
工作液:1.5mL/7mL
用途
NMPA IVD

Applicable platform

  • Biolynx平台
  • Leica平台
  • Roche平台
  • Dako平台

Reference

1. Green, TM, et al. AM J Surg Pathol 2012,36:612-619.
2. Aukema, SM, et al.Blood 2011,117:2319-2331.
3. Gurel, B, et al.Mod pathol 2008,21:1156-1167.
4. 中华医学会.《临床技术操作规范·病理学分册》.人民军医出版社,2004.

Support Documents

Contact Us

Address
浙江省杭州市滨江区滨安路688号天和高科技园区5号楼1303室
310052
Phone & Fax
+400-8769-741
+0571-88177680
Web & Mail

Follow Us

Scan QR Codes on Your Phone