首页
创新研发
产品中心
病理IHC整体解决方案
IVD一抗
LYNX310设备
LYNX480设备
免疫显色系统及辅助试剂
RUO试剂
液态细胞质控品
科研创新
科研目录抗体
技术服务
服务中心
资料下载
技术支持
关于我们
公司概况
新闻动态
荣誉资质
人才服务
联系我们
简体中文
简体中文
English
产品中心
病理IHC整体解决方案
科研创新
IVD一抗
LYNX310设备
LYNX480设备
免疫显色系统及辅助试剂
RUO试剂
液态细胞质控品
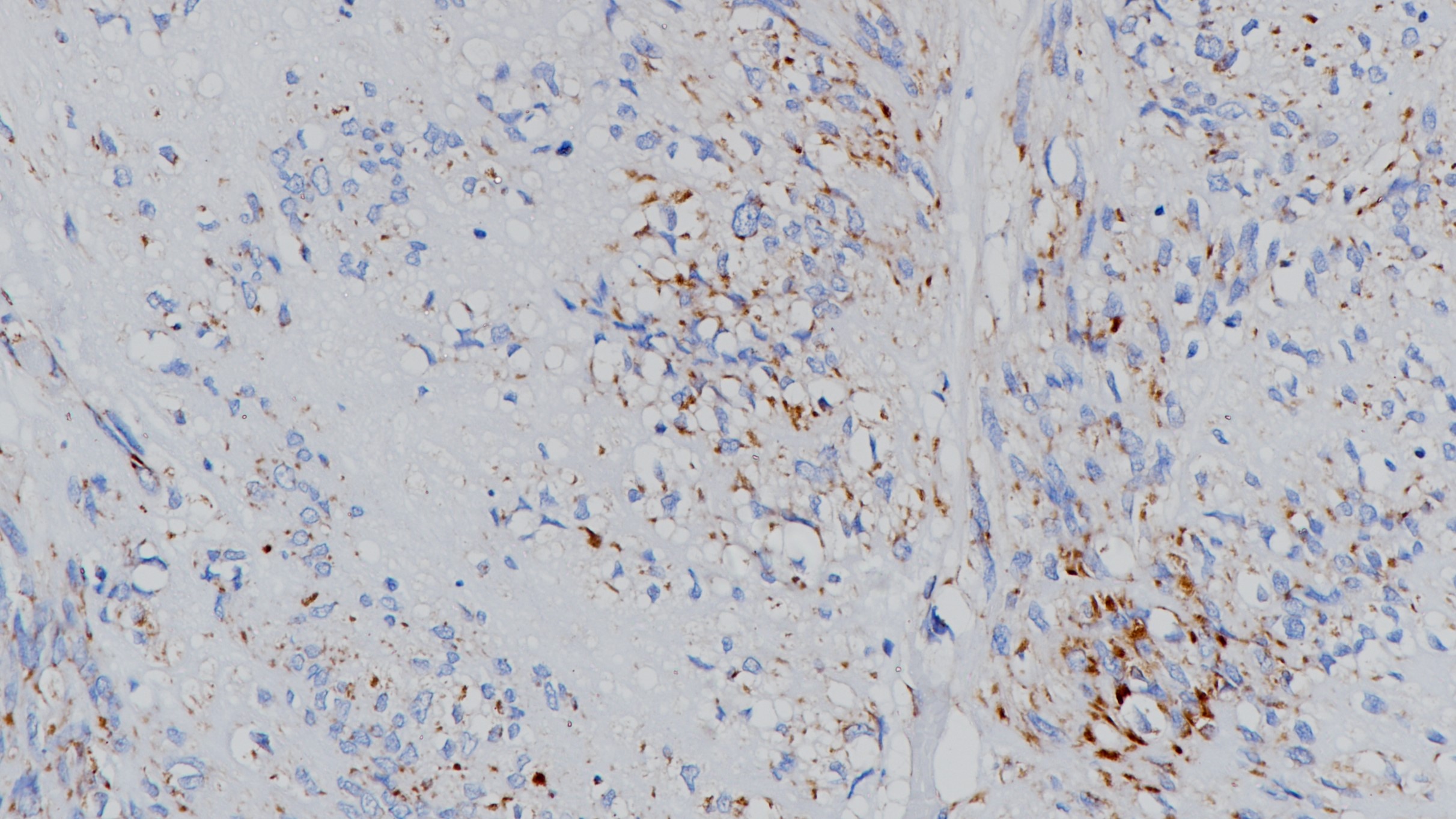
肾SDHB(BP6160)染色
SDHB表达缺失的胃肠道间质瘤SDHB(BP6160)染色
相关产品
p40
BP6033
Bcl-2
8C8
Cytokeratin 5(CK5)
BP6021
SDHB
重组兔单克隆抗体
琥珀酸脱氢酶 (Succinate dehydrogenase,SDH) 也称复合体 II 或琥珀酸:醌氧化还原酶,位于线粒体内膜,在三羧酸循环中可将琥珀酸转换成延胡索酸。SDH由4个亚基(A,B,C,D)组成,任何一个亚基发生突变将导致不稳定和复合体功能丧失。SDH各亚单位的突变均可导致SDHB蛋白缺失表达,故可用SDHB鉴定SDH缺陷型GIST。研究发现部分嗜铬细胞瘤(副节瘤)和肾细胞癌中存在SDHB突变。
Specifications
产品注册名称
SDHB抗体试剂(免疫组织化学)
目录号
I1189
克隆号
BP6160
亚细胞定位
细胞质
阳性对照
肾
修复方式
HIER
组织类型
FFPE
规格
浓缩液:0.1mL/1mL
工作液:1.5mL/7mL
用途
NMPA IVD
Applicable platform
Biolynx平台
Leica平台
Roche平台
Dako平台
Support Documents
Datesheet
Contact Us
Address
浙江省杭州市滨江区滨安路688号天和高科技园区5号楼1303室
310052
Phone & Fax
+400-8769-741
+0571-88177680
Web & Mail
[email protected]
Follow Us
Scan QR Codes on Your Phone