产品中心

PSAP 重组兔单克隆抗体

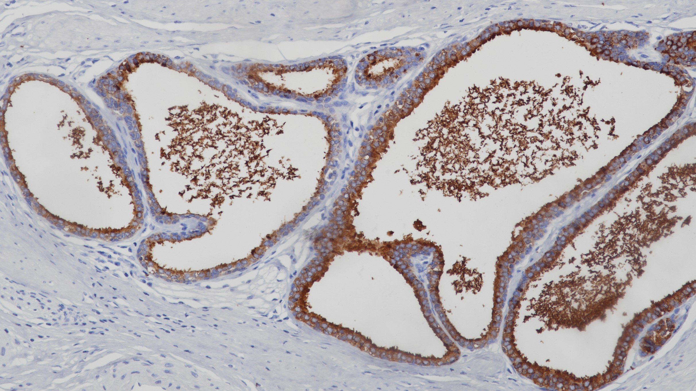
PSAP(PAP,前列腺酸性磷酸酶)是组氨酸酸性磷酸酶家族成员之一。它是一种非特殊的磷酸酶,能够在轻度酸性环境下去除酪氨酸残基和磷脂。PSAP与前列腺上皮分化有关。它在前列腺、原发性前列腺癌和前列腺转移性癌中高度表达。这个标记可能有助于在前列腺转移癌的病例中准确地指出来源的位置,并且被认为是比PSA更敏感的标记。

Specifications

产品注册名称
PSAP抗体试剂
目录号
I1023
克隆号
BP6050
亚细胞定位
细胞质
阳性对照
前列腺癌
修复方式
HIER
组织类型
FFPE
规格
工作液:1.5mL/7mL
浓缩液:0.1mL/1mL
用途
NMPA IVD
CE

Applicable platform

  • Biolynx平台
  • Leica平台
  • Roche平台
  • Dako平台

Reference

1.Genega EM, et al. Mod Pathol. 2000 Nov;13(11):1186-91.
2.Street, S.E, et al. (2013) J Neurosci 33, 11314-22.

Support Documents

Contact Us

Address
浙江省杭州市滨江区滨安路688号天和高科技园区5号楼1303室
310052
Phone & Fax
+400-8769-741
+0571-88177680
Web & Mail

Follow Us

Scan QR Codes on Your Phone