产品中心

Granzyme B 重组兔单克隆抗体

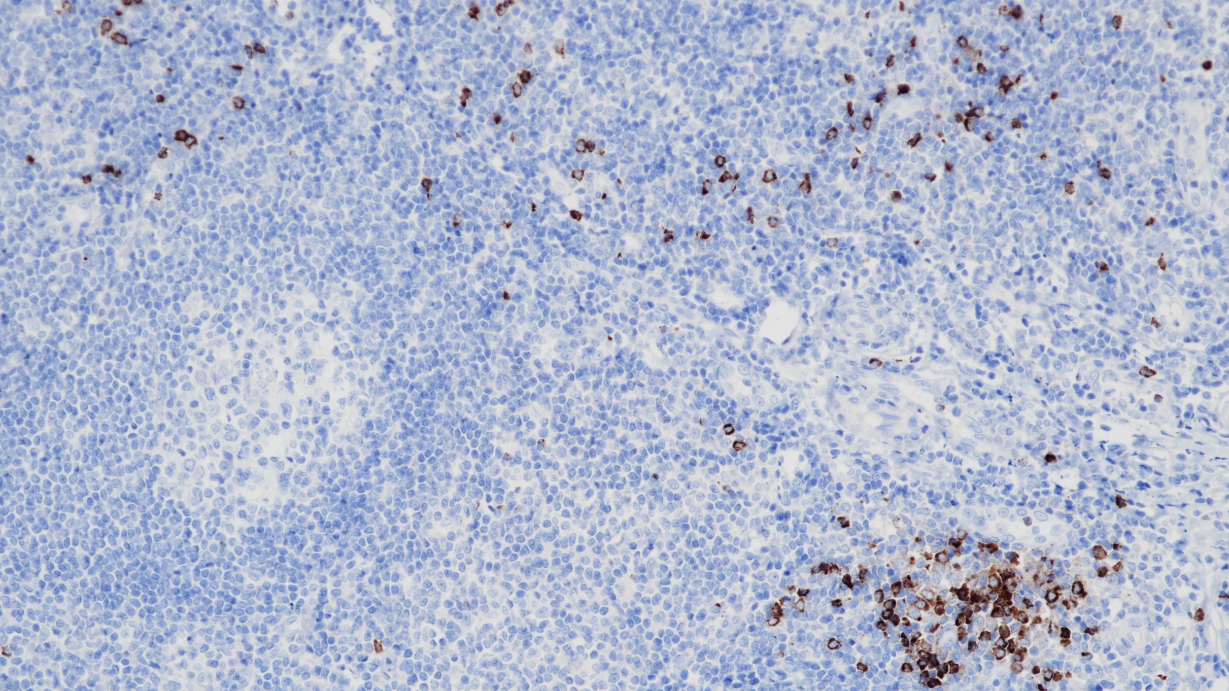
Granzyme B是一种丝氨酸蛋白酶,介导细胞毒性T淋巴细胞(CTL)和自然杀伤细胞(NK)的凋亡信号通路。Granzyme B是以非活性蛋白酶的形式被合成,储存在溶细胞颗粒中,在效应细胞降解的过程中释放出来。研究显示,利用免疫组化技术发现Granzyme B在外周T细胞淋巴瘤(PTCL)和NK细胞淋巴瘤中有表达。细胞毒性蛋白的表达可能对外周T细胞和NK细胞淋巴瘤的鉴别和分类起到重要作用,如Granzyme B,因为许多该类型的肿瘤没有特定的形态和表型。

Specifications

产品注册名称
Granzyme B抗体试剂
目录号
I1029
克隆号
BP6029
亚细胞定位
细胞质
阳性对照
脾脏
修复方式
HIER
组织类型
FFPE
规格
工作液:1.5mL/7mL
浓缩液:0.1mL/1mL
用途
NMPA IVD
CE

Applicable platform

  • Biolynx平台
  • Leica平台
  • Roche平台
  • Dako平台

Reference

1.Froelich CJ, et.al, J Immunol. 1993 Dec15;151(12):7161-71.
2.Hodge G, et.al, Clin Exp Immunol. 2014 Oct;178(1):79-85.

Support Documents

Contact Us

Address
浙江省杭州市滨江区滨安路688号天和高科技园区5号楼1303室
310052
Phone & Fax
+400-8769-741
+0571-88177680
Web & Mail

Follow Us

Scan QR Codes on Your Phone