产品中心

IgM 重组兔单克隆抗体

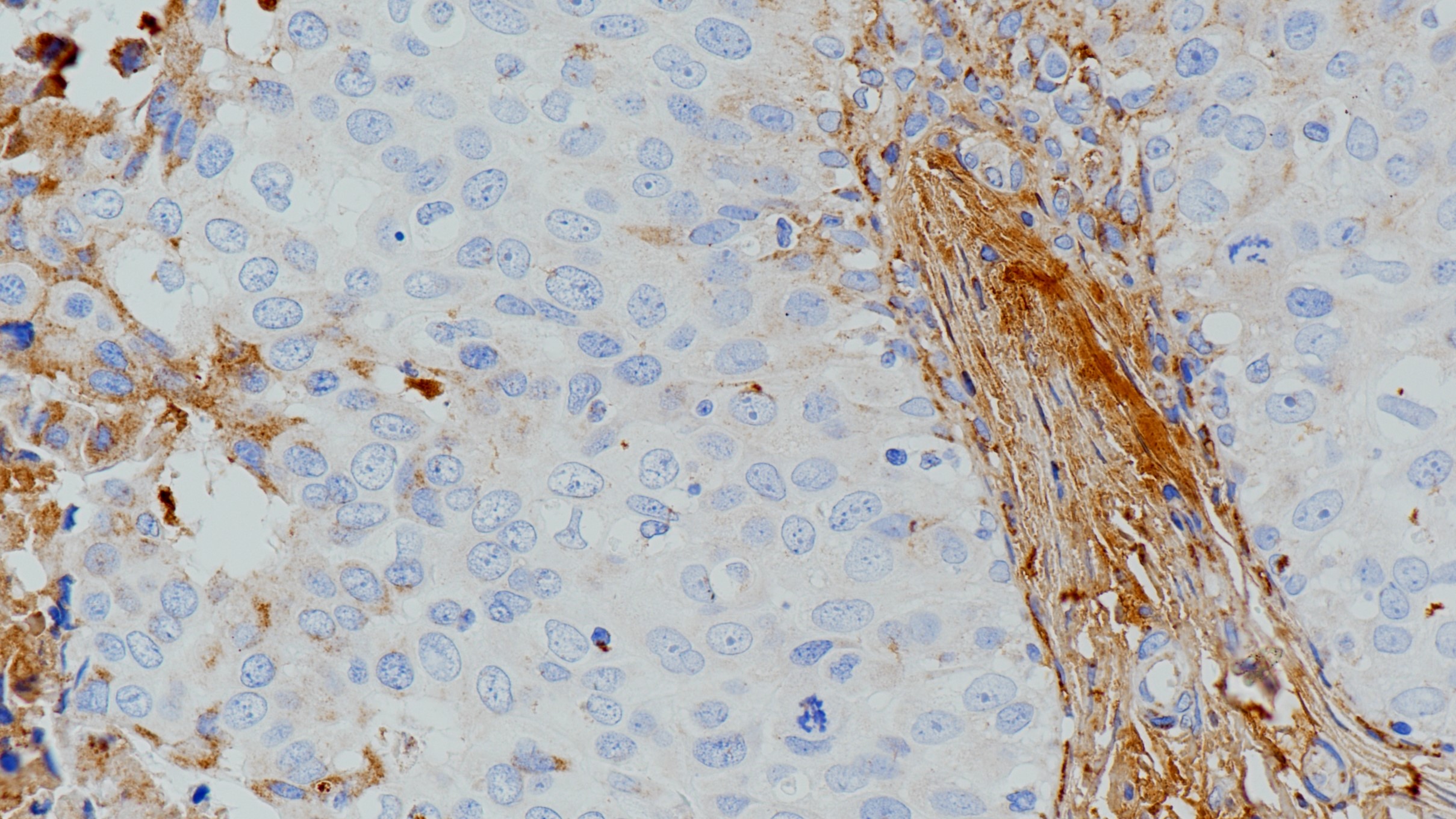
IgM是B淋巴细胞表面主要的免疫球蛋白之一,该抗体可以与免疫球蛋白IgM的μ链反应,对一些淋巴瘤的鉴别诊断具有一定的辅助意义,也可用于对肾小球肾炎进行功能性分类。

Specifications

产品注册名称
IgM抗体试剂
目录号
I1132
克隆号
BP6135
亚细胞定位
细胞质
阳性对照
扁桃体
修复方式
HIER
组织类型
FFPE
规格
工作液:1.5mL/7mL
浓缩液:0.1mL/1mL
用途
NMPA IVD

Applicable platform

  • Biolynx平台
  • Leica平台
  • Roche平台
  • Dako平台

Reference

1.Leong AS, et al., Geenwich Medical Media Ltd. 1999;217-219.

2.Arnold A, et al., New Eng J Med 1983; 309:1593-1599.

Support Documents

Contact Us

Address
浙江省杭州市滨江区滨安路688号天和高科技园区5号楼1303室
310052
Phone & Fax
+400-8769-741
+0571-88177680
Web & Mail

Follow Us

Scan QR Codes on Your Phone