产品中心

WT1 重组兔单克隆抗体

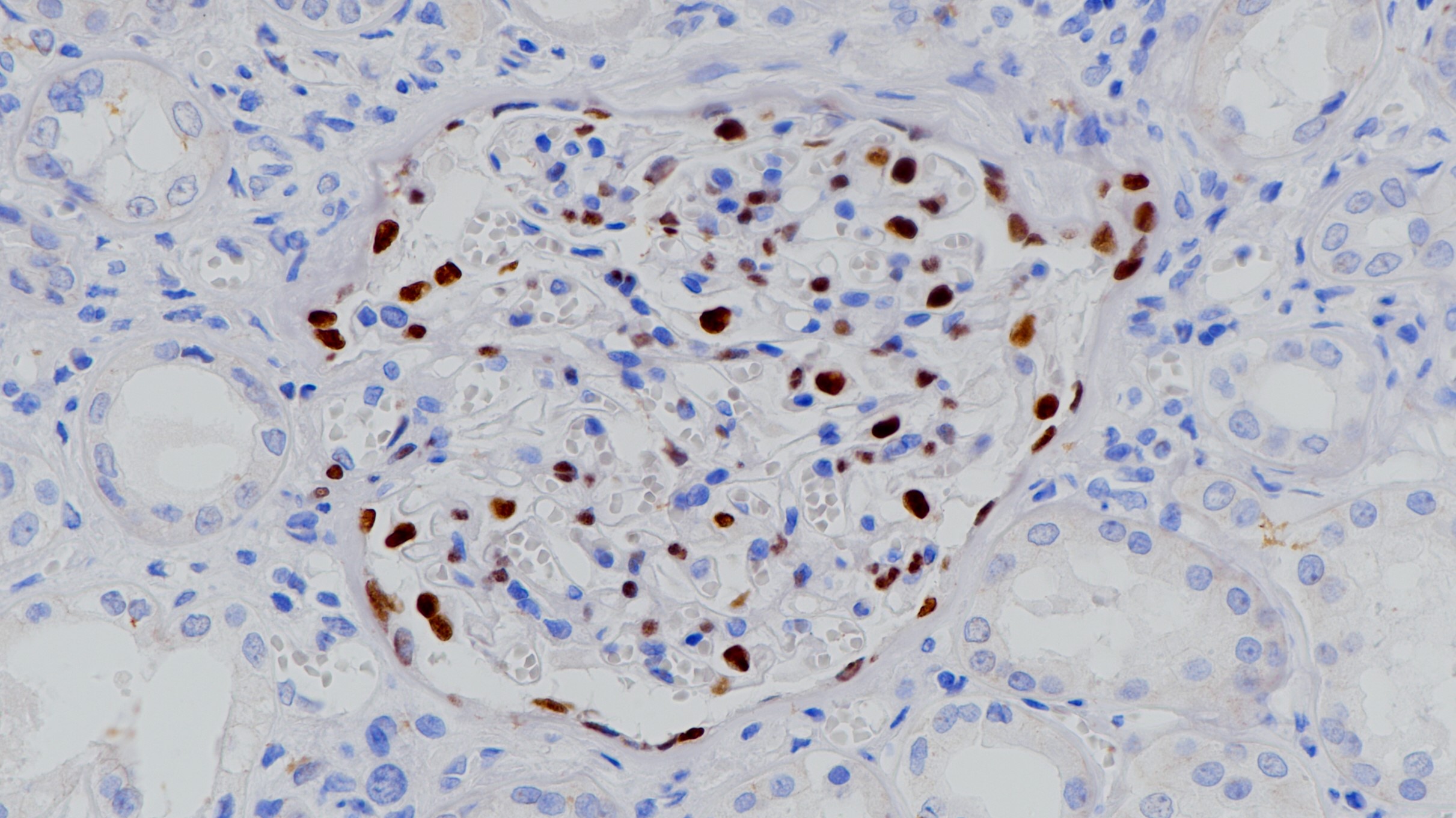
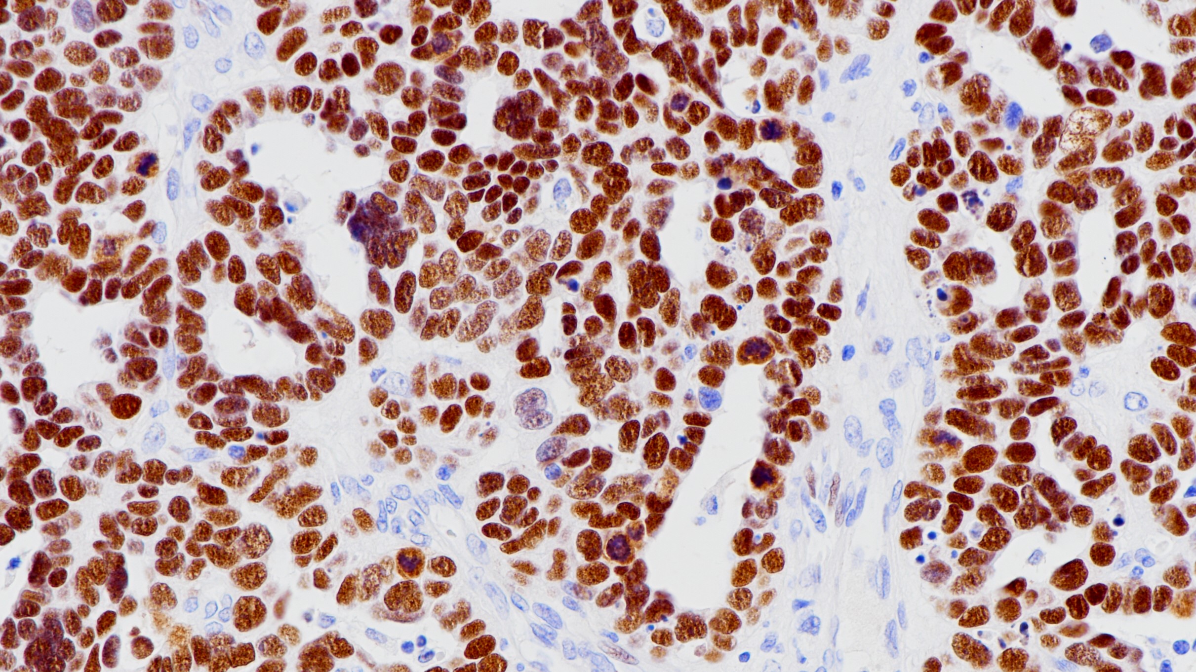
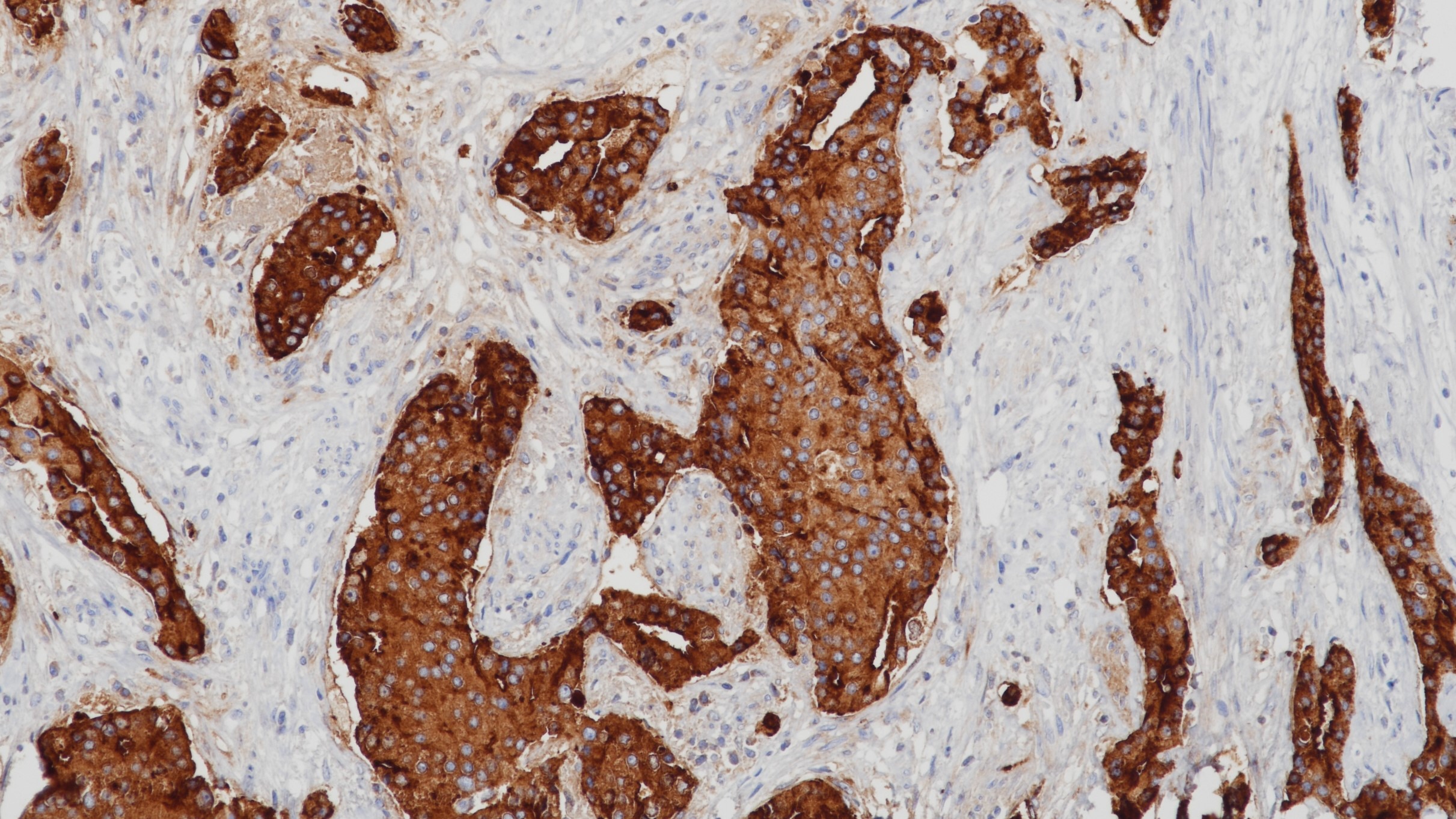
WT1作为转录因子,在泌尿生殖系统的发育过程中起到重要作用。正常上皮细胞中,WT1主要在输卵管和卵巢表面的上皮细胞表达,而在子宫内膜和宫颈的上皮细胞不表达。非上皮细胞中,WT1在间皮基质细胞、女性生殖道的基质细胞、睾丸的非生殖细胞以及肾脏的足细胞中表达。肿瘤组织中,WT1主要在Wilm’s瘤和间皮瘤中表达,浆液性卵巢癌和一些乳腺癌中也有表达,在临床上可用来鉴别恶性间皮瘤和浆液性卵巢癌。

Specifications

产品注册名称
WT1抗体试剂
目录号
I1049
克隆号
BP6062
亚细胞定位
细胞核
阳性对照
卵巢癌
修复方式
HIER
组织类型
FFPE
规格
工作液:1.5mL/7mL
浓缩液:0.1mL/1mL
用途
NMPA IVD
CE

Applicable platform

  • Biolynx平台
  • Leica平台
  • Roche平台
  • Dako平台

Reference

1.Carpentieri DF et al. Mod Pathol. 2002 Oct;15(10):1080-6.
2.Goldstein NS et al. Am J Clin Pathol. 2002 Apr;117(4):541-5.

Support Documents

Contact Us

Address
浙江省杭州市滨江区滨安路688号天和高科技园区5号楼1303室
310052
Phone & Fax
+400-8769-741
+0571-88177680
Web & Mail

Follow Us

Scan QR Codes on Your Phone