产品中心

Vimentin 重组兔单克隆抗体

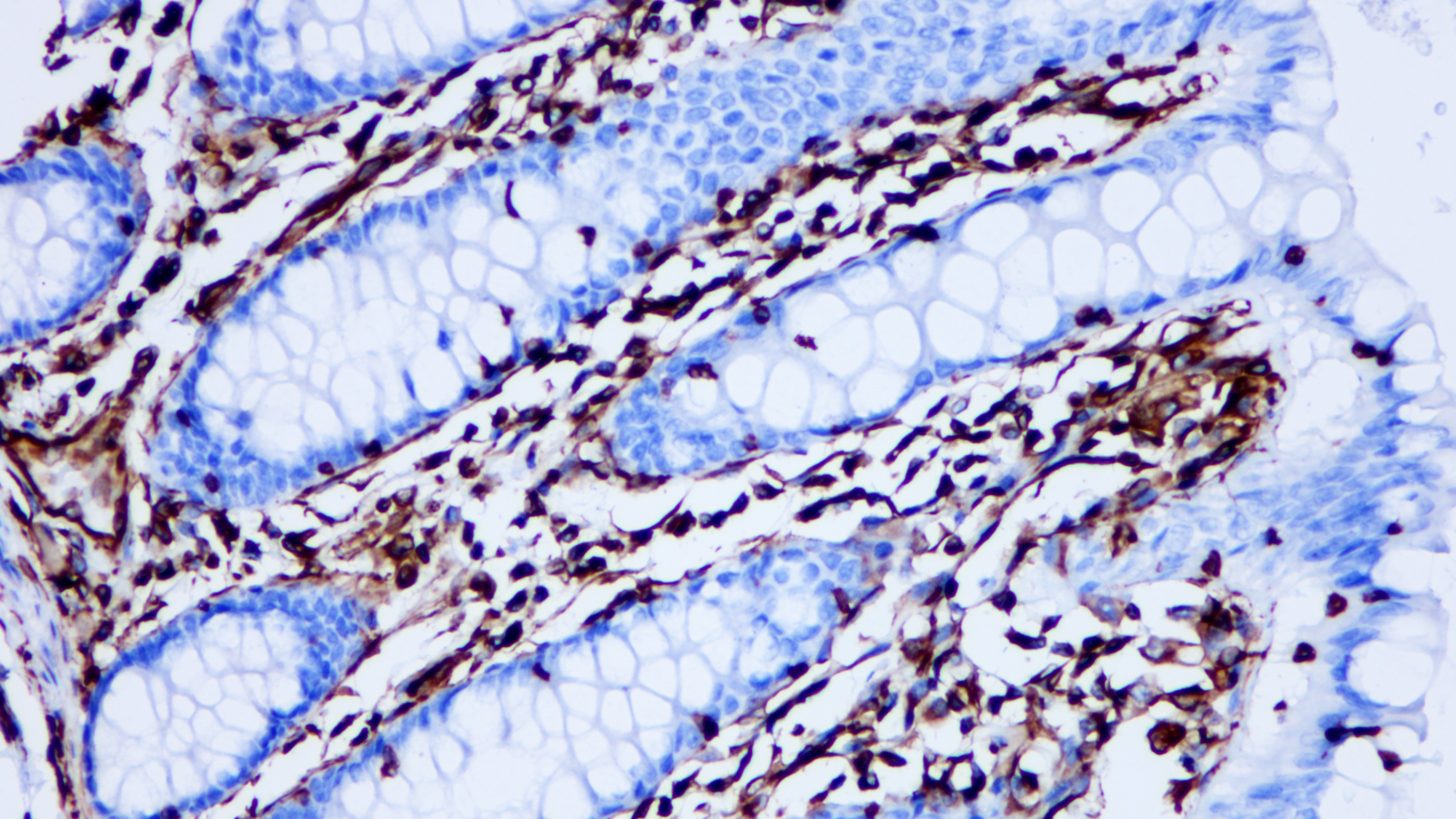
Vimentin(波形蛋白)是中间丝的其中一种蛋白,是真核生物细胞骨架重要组成成分,其对细胞的完整性和细胞骨架稳定性至关重要。Vimentin表达于多种间充质细胞类型:成纤维细胞、内皮细胞等,以及从中胚层衍生的许多其他细胞类型,如间皮瘤和卵巢颗粒细胞。但是,在非血管平滑肌细胞中Vimentin常被Desmin所替代。在肿瘤组织中,Vimentin存在于许多不同的肿瘤中,尤其是在那些起源于间充质细胞的肿瘤组织。Vimentin与其他抗体组合检测,用于鉴别间充质来源肿瘤和恶性黑色素瘤。此外,Vimentin可作为一种有效的组织处理标志物。

Specifications

产品注册名称
Vimentin抗体试剂
目录号
I1003
克隆号
BP6010
亚细胞定位
细胞质
阳性对照
结肠
修复方式
HIER
组织类型
FFPE
规格
工作液:1.5mL/7mL
浓缩液:0.1mL/1mL
用途
NMPA IVD
CE

Applicable platform

  • Biolynx平台
  • Leica平台
  • Roche平台
  • Dako平台

Reference

1.Xiaotian Jia, et al,Oncol Lett. 2016 Sep; 12(3): 1717–1720.

2.Bo Su, et al,Oncotarget. 2016 Mar 1; 7(9): 10498–10512.

Support Documents

Contact Us

Address
浙江省杭州市滨江区滨安路688号天和高科技园区5号楼1303室
310052
Phone & Fax
+400-8769-741
+0571-88177680
Web & Mail

Follow Us

Scan QR Codes on Your Phone