

1. Yang A, et. al. p63, a p53 Homolog at 3q27–29, Encodes Multiple Products with Transactivating, Death-Inducing, and Dominant-Negative Activities. Mol Cell. 1998;2:305-16.
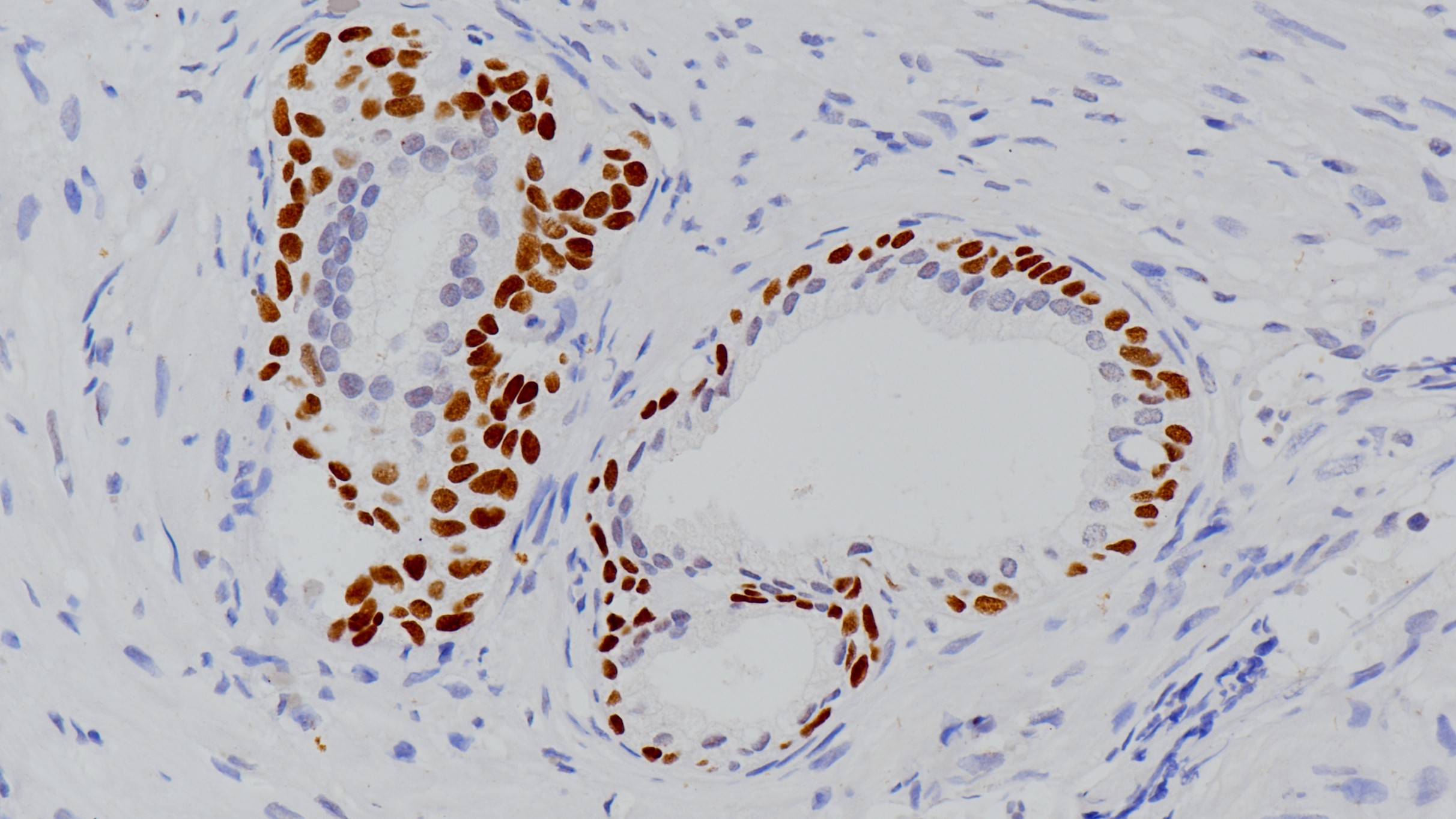
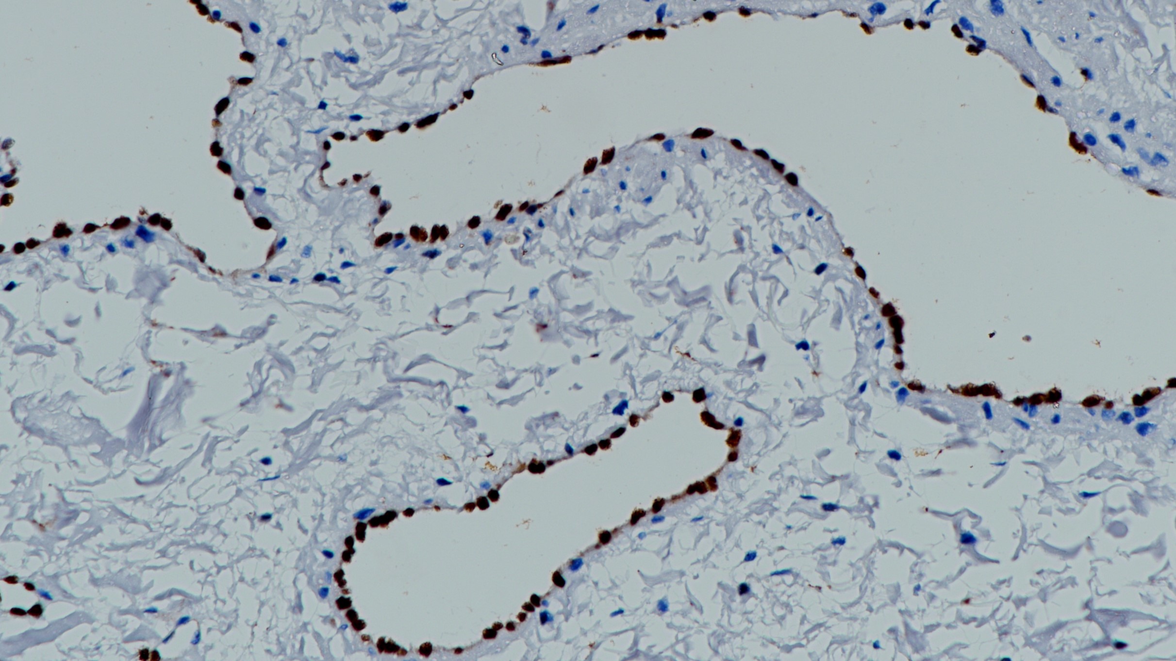
2. Signoretti S, et. al. p63 Is a Prostate Basal Cell Marker and Is Required for Prostate Development. Am J Pathol. 2000;157:1769-75.
3. 中华医学会.《临床技术操作规范·病理学分册》.人民军医出版社,2004.