产品中心

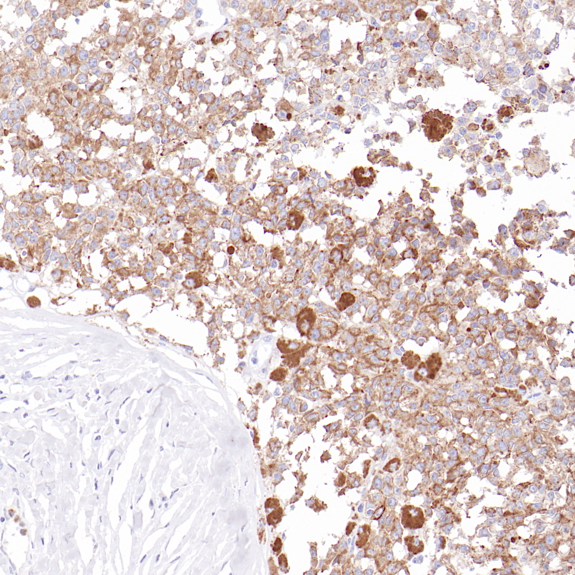
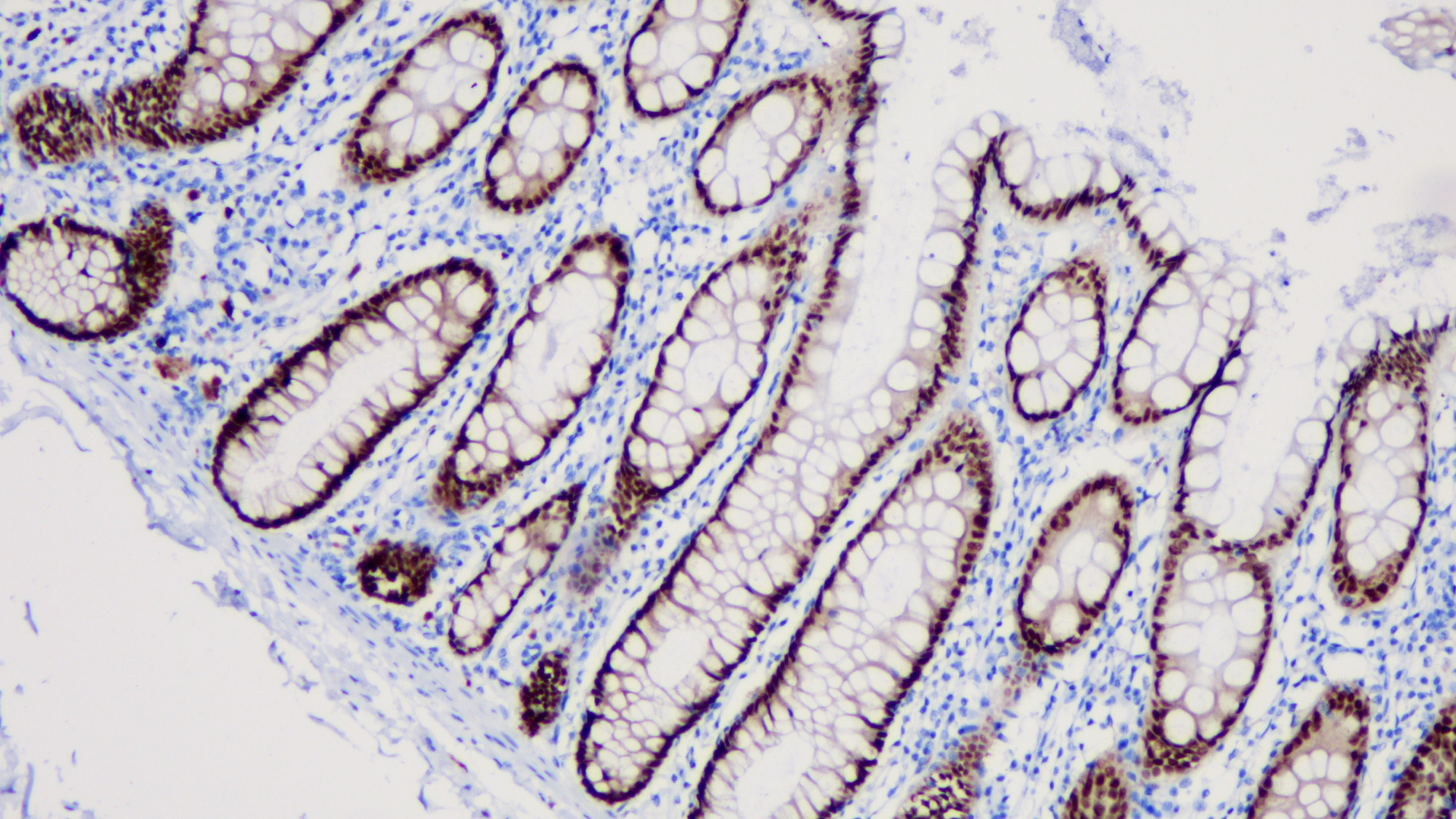
CDX-2 重组兔单克隆抗体

CDX2是一种同源框基因,是编码肠器官发生所必需的核同源结构域转录因子。CDX2对肠,胰腺和胆道上皮分化至关重要。CDX2与肿瘤抑制基因APC和E-cadherin以及bcl-2相互作用。在肠道(从十二指肠到直肠),CDX2核蛋白在所有类型的上皮细胞中被强烈且均匀地表现出来。在胰腺和胆道中,CDX2蛋白在散落的导管细胞中被呈现出来。在肿瘤组织中,CDX2在绝大多数结直肠腺癌和阑尾腺癌中是阳性表达的。CDX2是“肠”腺癌的相对敏感和特异性标记物。在未知原发部位(腺癌)的分类中,CDX2是一个重要的标记物,但应始终包括在检测组合中。同样为了鉴定神经内分泌肿瘤的起源,CDX2应在组合检测中。

Specifications

产品注册名称
CDX-2抗体试剂(免疫组织化学)
目录号
I1007
克隆号
BP6023
亚细胞定位
细胞核
阳性对照
结肠
修复方式
HIER
组织类型
FFPE
规格
工作液:1.5mL/7mL
浓缩液:0.1mL/1mL
用途
NMPA IVD
CE

Applicable platform

  • Biolynx平台
  • Leica平台
  • Roche平台
  • Dako平台

Reference

1.Xin S et al. Oncology. 2007;73(5-6):357-65.

2.Werling RW et al. Am J Surg Pathol. 2003 Mar;27(3):303-10.

3.中华医学会.《临床技术操作规范·病理学分册》.人民军医出版社,2004.

Support Documents

Contact Us

Address
浙江省杭州市滨江区滨安路688号天和高科技园区5号楼1303室
310052
Phone & Fax
+400-8769-741
+0571-88177680
Web & Mail

Follow Us

Scan QR Codes on Your Phone