产品中心

CD8 重组兔单克隆抗体

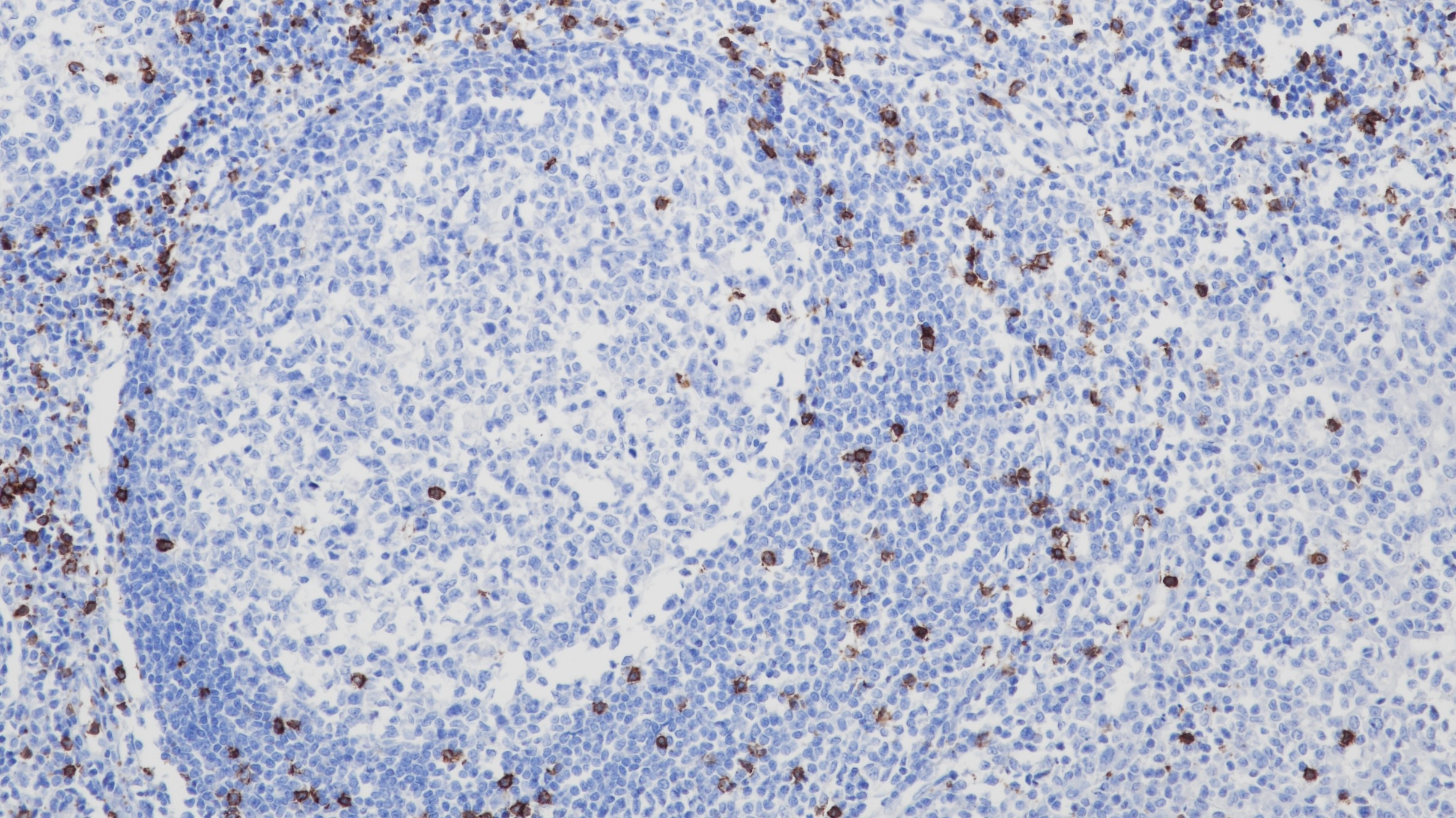
CD8抗原是一种细胞表面糖基蛋白,存在于大多数细胞毒性T淋巴细胞(CTL),作为共同受体识别与MHC I类相关的多肽TCR,并通过结合MHC来支持CTL活化,而不直接作用于多肽。CD8是CD8α和CD8β的异质二聚体,表达于细胞毒性抑制T细胞。CD8在近1/3的外周血T细胞(CD4-细胞)上表达,在自然杀伤(NK)细胞中也检测到低水平的表达。在正常的人类扁桃体中,大量的CD8+淋巴细胞存在于副皮质区,偶尔也会在生发中心的鳞状上皮中出现阳性细胞。

Specifications

产品注册名称
CD8抗体试剂(免疫组织化学)
目录号
I1036
克隆号
BP6041
亚细胞定位
细胞膜
阳性对照
扁桃体
修复方式
HIER
组织类型
FFPE
规格
工作液:1.5mL/7mL
浓缩液:0.1mL/1mL
用途
NMPA IVD
CE

Applicable platform

  • Biolynx平台
  • Leica平台
  • Roche平台
  • Dako平台

Reference

1.Williamson SL, et al. Am J Pathol. 1998 Jun; 152 (6):1421-6.

2.Hodak E, et al. Am Acad Dermatol. 2006 Aug; 55(2):276-84.

3.中华医学会.《临床技术操作规范·病理学分册》.人民军医出版社,2004.

Support Documents

Contact Us

Address
浙江省杭州市滨江区滨安路688号天和高科技园区5号楼1303室
310052
Phone & Fax
+400-8769-741
+0571-88177680
Web & Mail

Follow Us

Scan QR Codes on Your Phone