产品中心

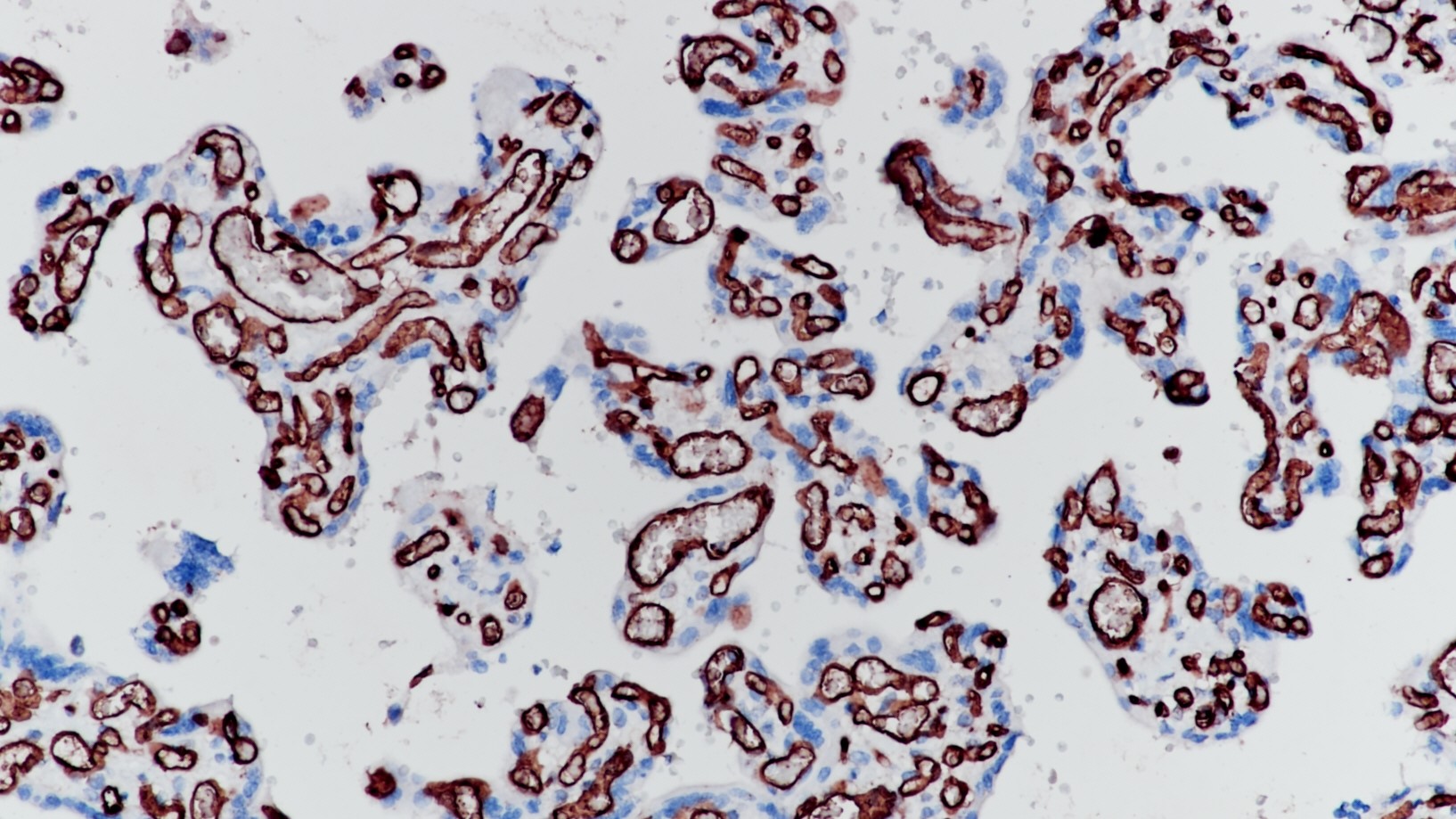
CD34 重组兔单克隆抗体

CD34(也称为骨髓祖细胞抗原)是一种高度糖基化的I类跨膜糖蛋白。由于可变剪接的存在,CD34蛋白有两种形式。研究表明,CD34是一种维持未分化细胞表型可塑性状态的信号分子。在肿瘤组织中,CD34出现在骨髓增生异常综合征和多数急性髓系白血病(AML)的髓样细胞,以及急性淋巴细胞白血病中的淋巴母细胞中。CD34染色有助于鉴定骨髓瘤和淋巴瘤,以及梭形细胞瘤(尤其是鉴定胃肠道间质瘤和血管肉瘤)。

Specifications

产品注册名称
CD34抗体试剂(免疫组织化学)
目录号
I1038
克隆号
BP6047
亚细胞定位
细胞膜
阳性对照
修复方式
HIER
组织类型
FFPE
规格
工作液:1.5mL/7mL
浓缩液:0.1mL/1mL
用途
NMPA IVD
CE

Applicable platform

  • Biolynx平台
  • Leica平台
  • Roche平台
  • Dako平台

Reference

1.Kong Y, et al. Leukemia. 2008 Jun; 22(6):1207-13.

2.Li N, et al. Am J Dermatopathol. 2004 Aug; 26(4):267-72.

3.中华医学会.《临床技术操作规范·病理学分册》.人民军医出版社,2004.

Support Documents

Contact Us

Address
浙江省杭州市滨江区滨安路688号天和高科技园区5号楼1303室
310052
Phone & Fax
+400-8769-741
+0571-88177680
Web & Mail

Follow Us

Scan QR Codes on Your Phone