产品中心

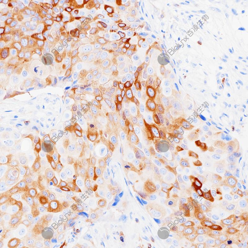
Arginase-1 重组兔单克隆抗体

Arginase-1也称作肝型精氨酸酶,它作为尿循环的一个关键酶,在正常肝组织的肝细胞中的表达具有很高的特异性,胆管上皮细胞、肝窦内皮细胞、枯否细胞及血管内皮细胞均不表达。在肝细胞癌诊断中,分化良好及中度分化的肝细胞癌其表达率高达100%和92%,低分化肝细胞癌相对较低,其敏感性高于HepPar1和Glypican3.

Specifications

目录号
BX50180
克隆号
BP6158
阳性对照
亚细胞定位
细胞质/细胞核
组织类型
FFPE
修复方式
HIER
稀释比
1:100-1:200
规格
100μl/vial, 1ml/vial
用途
RUO

Reference

1.Azambuja, J. H., etal. Int. J. Mol. Sci. 2020, 21, 3990. 

2.Chen DA, et al. J Clin Pathol 2020;0:1–4.

Support Documents

Contact Us

Address
浙江省杭州市滨江区滨安路688号天和高科技园区5号楼1303室
310052
Phone & Fax
+400-8769-741
+0571-88177680
Web & Mail

Follow Us

Scan QR Codes on Your Phone