产品中心

GST-π 重组兔单克隆抗体

谷胱甘肽-S-转移酶(GSTs)是一类酶,通过催化许多疏水和亲电化合物与还原性谷胱甘肽结合,在解毒过程中发挥重要作用。根据可溶性GSTs的生化、免疫和结构特性,将其分为五个主要类别:alpha、mu、pi、theta 和 zeta。GST-π广泛存在于人体各器官的细胞质和线粒体中,主要催化谷胱甘肽与多种亲电物质结合形成GS-X,进而将其排出细胞外,达到解毒作用。GST-π在多种肿瘤中高度表达,并与肿瘤治疗耐药(阿霉素、顺铂、硫唑嘌呤、环磷酰胺和肿瘤皮素等)有关,与P-gp和Topo II同时检测,对判断肿瘤细胞是否耐药更具临床意义。

Specifications

目录号
BX50329
克隆号
BP6305
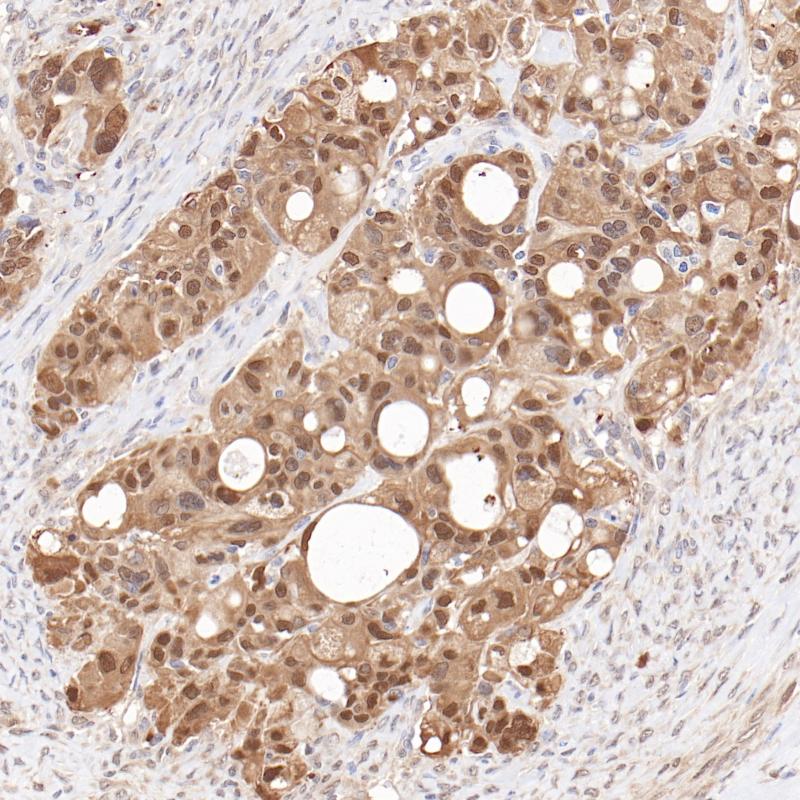
阳性对照
卵巢癌
亚细胞定位
细胞核,细胞质
组织类型
FFPE
修复方式
HIER
稀释比
1:100-1:200
规格
100μl/vial, 1ml/vial
用途
RUO

Reference

1. E Bejarano et al.(2023) Redox Biol 2023;66:102869.
2. Makoto Asahina et al.(2021) Mol Brain 2021;14(1):91.

Support Documents

Contact Us

Address
浙江省杭州市滨江区滨安路688号天和高科技园区5号楼1303室
310052
Phone & Fax
+400-8769-741
+0571-88177680
Web & Mail

Follow Us

Scan QR Codes on Your Phone