首页
创新研发
产品中心
病理IHC整体解决方案
IVD一抗
LYNX310设备
LYNX480设备
免疫显色系统及辅助试剂
RUO试剂
液态细胞质控品
科研创新
科研目录抗体
技术服务
服务中心
资料下载
技术支持
关于我们
公司概况
新闻动态
荣誉资质
人才服务
联系我们
简体中文
简体中文
English
产品中心
病理IHC整体解决方案
科研创新
IVD一抗
LYNX310设备
LYNX480设备
免疫显色系统及辅助试剂
RUO试剂
液态细胞质控品
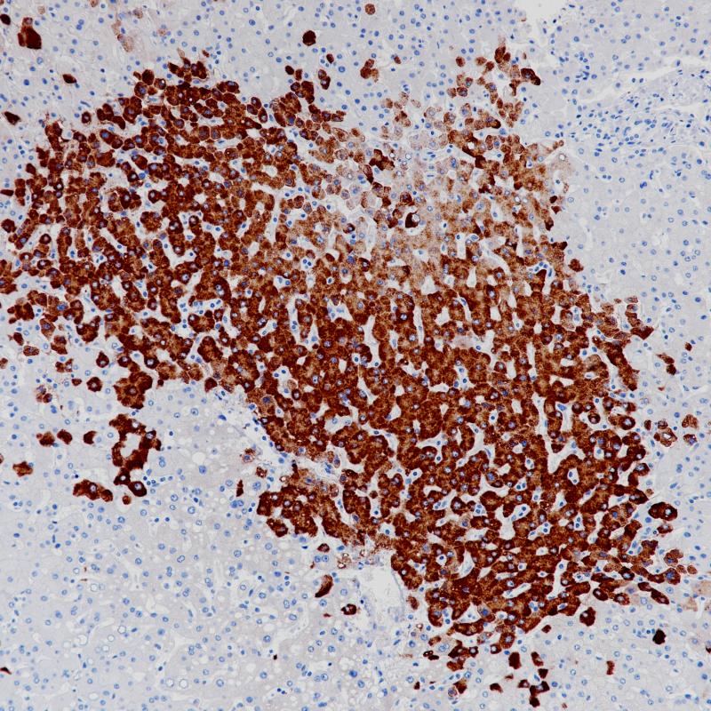
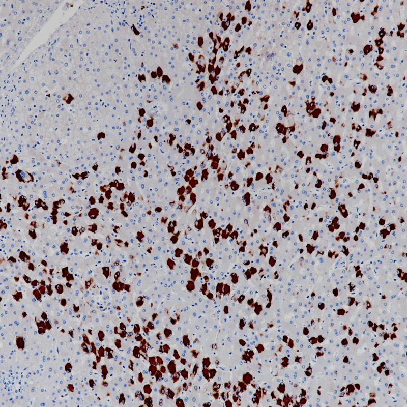
HBV感染肝脏HBSAg(BP6224)染色
HBV感染肝脏HBSAg(BP6224)染色-2
相关产品
Estrogen Receptor α
BP6139
CD155
BP6339
CD105
BP6307
HBSAg
重组兔单克隆抗体
乙肝表面抗原(HBsAg)是乙肝病毒表面的糖蛋白。乙肝感染后,HBsAg作为第一病毒标志物出现。患者感染乙型肝炎病毒2到6个月后,HBsAg可以在其血液、唾液、乳汁,汗水,泪水,鼻咽分泌物、精液和阴道分泌物中检测到。HBsAg抗体主要用于乙肝病毒的诊断。
Specifications
目录号
BX50247
克隆号
BP6224
阳性对照
HBV感染肝脏
亚细胞定位
细胞质
组织类型
FFPE
修复方式
HIER
稀释比
1:100-1:200
规格
100μl/vial, 1ml/vial
用途
RUO
Support Documents
Datesheet
Contact Us
Address
浙江省杭州市滨江区滨安路688号天和高科技园区5号楼1303室
310052
Phone & Fax
+400-8769-741
+0571-88177680
Web & Mail
[email protected]
Follow Us
Scan QR Codes on Your Phone