首页
创新研发
产品中心
病理IHC整体解决方案
IVD一抗
LYNX310设备
LYNX480设备
免疫显色系统及辅助试剂
RUO试剂
液态细胞质控品
科研创新
科研目录抗体
技术服务
服务中心
资料下载
技术支持
关于我们
公司概况
新闻动态
荣誉资质
人才服务
联系我们
简体中文
简体中文
English
产品中心
病理IHC整体解决方案
科研创新
IVD一抗
LYNX310设备
LYNX480设备
免疫显色系统及辅助试剂
RUO试剂
液态细胞质控品
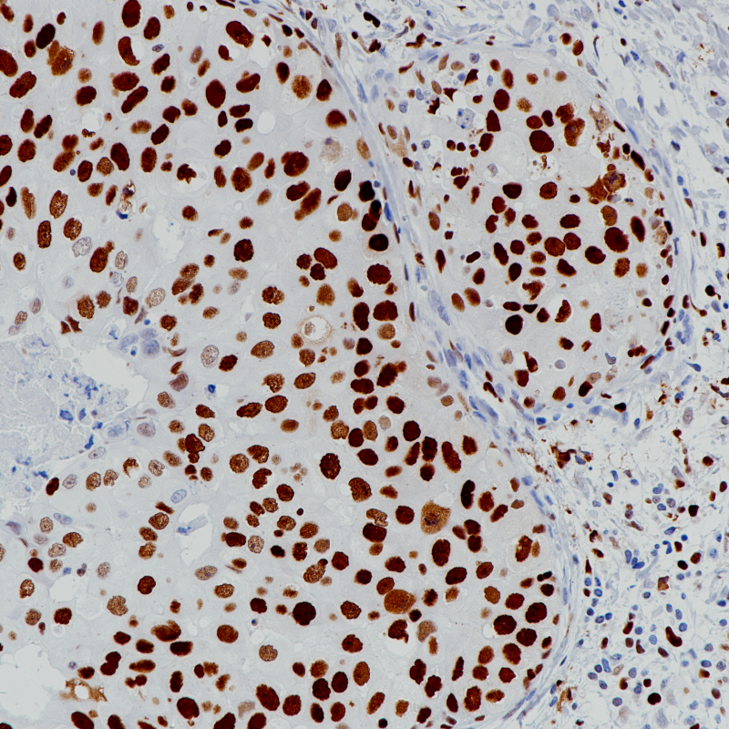
扁桃体MCM2(BP6220)染色
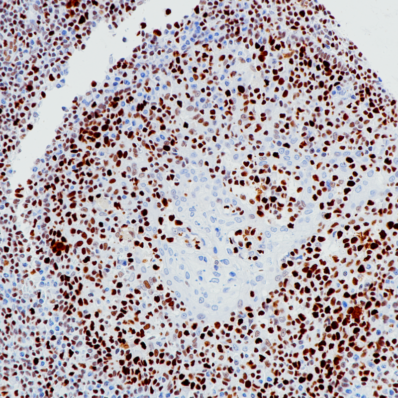
乳腺癌MCM2(BP6220)染色
相关产品
CD5
BP6090
SATB2
BP6298
Cytokeratin 8&18
BP6005/BP6054
MCM2
重组兔单克隆抗体
MCM2作为MCM2-7复合体的组成部分,在耳蜗毛细胞的终分化发育中发挥作用,并诱导细胞凋亡。MCM2在所有增殖细胞中均有表达。作为一种特殊的细胞增殖标志物,在结肠癌、肺癌等上皮组织的癌前病变中优于Ki-67。它有助于恶性间皮瘤和反应性间皮瘤的研究。
Specifications
目录号
BX50243
克隆号
BP6220
阳性对照
乳腺癌
亚细胞定位
细胞核
组织类型
FFPE
修复方式
HIER
稀释比
1:100-1:200
规格
100μl/vial, 1ml/vial
用途
RUO
Support Documents
Datesheet
Contact Us
Address
浙江省杭州市滨江区滨安路688号天和高科技园区5号楼1303室
310052
Phone & Fax
+400-8769-741
+0571-88177680
Web & Mail
[email protected]
Follow Us
Scan QR Codes on Your Phone