首页
创新研发
产品中心
病理IHC整体解决方案
IVD一抗
LYNX310设备
LYNX480设备
免疫显色系统及辅助试剂
RUO试剂
液态细胞质控品
科研创新
科研目录抗体
技术服务
服务中心
资料下载
技术支持
关于我们
公司概况
新闻动态
荣誉资质
人才服务
联系我们
简体中文
简体中文
English
产品中心
病理IHC整体解决方案
科研创新
IVD一抗
LYNX310设备
LYNX480设备
免疫显色系统及辅助试剂
RUO试剂
液态细胞质控品
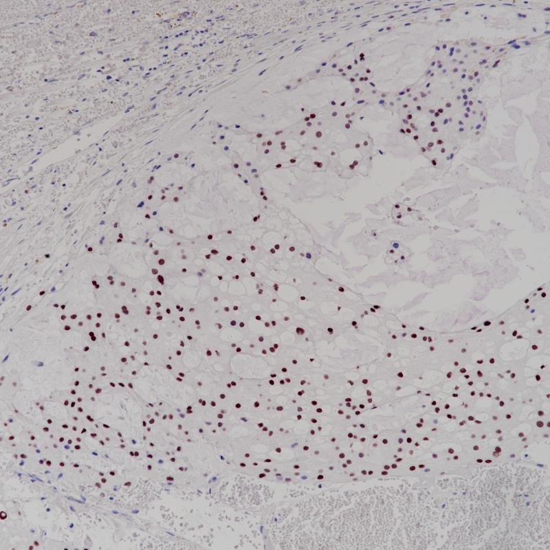
脊索瘤Brachyury(BP6218)染色
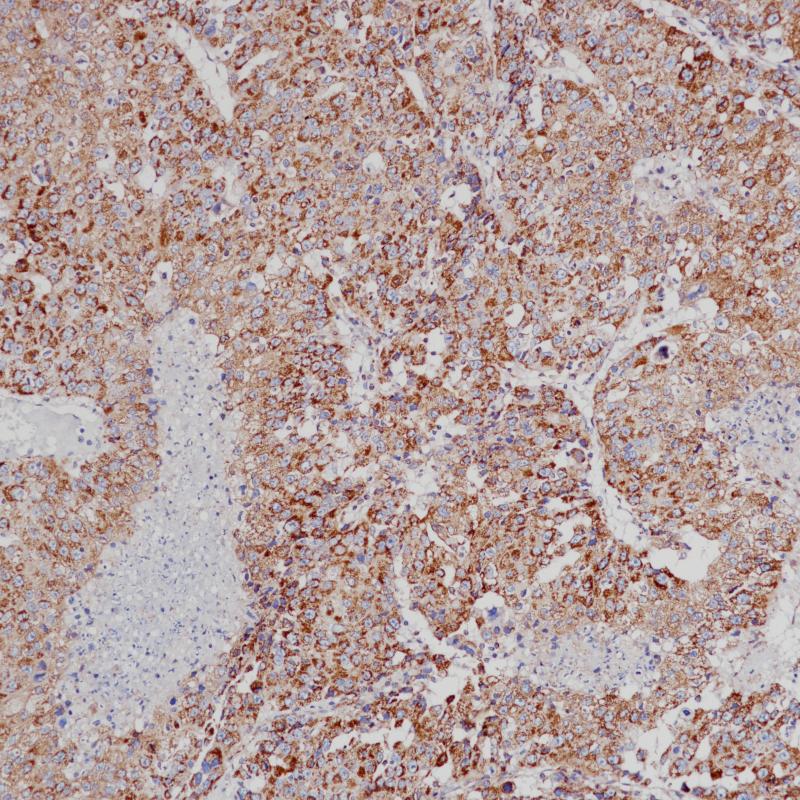
脊索瘤Brachyury(BP6218)染色(2)
相关产品
Cytokeratin 19
BP6022
Somatostatin
BP6200
IgG4
BP6309
Brachyury
重组兔单克隆抗体
Brachyury蛋白由T基因编码,是一种转录因子,在脊椎动物胚胎发生过程中对后中胚层的形成和轴向发育至关重要。人类短肢在脊索以及沿脊柱发生的脊索瘤中表达,使其成为脊索和脊索衍生肿瘤的良好标记。人类T基因的一种常见多态性也被证明与多因素神经管缺损、脊柱裂的发展有关。
Specifications
目录号
BX50241
克隆号
BP6218
阳性对照
脊索瘤
亚细胞定位
细胞核
组织类型
FFPE
修复方式
HIER
稀释比
1:100-1:200
规格
100μl/vial, 1ml/vial
用途
RUO
Support Documents
Datesheet
Contact Us
Address
浙江省杭州市滨江区滨安路688号天和高科技园区5号楼1303室
310052
Phone & Fax
+400-8769-741
+0571-88177680
Web & Mail
[email protected]
Follow Us
Scan QR Codes on Your Phone