产品中心

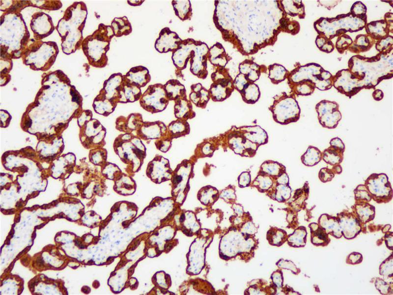
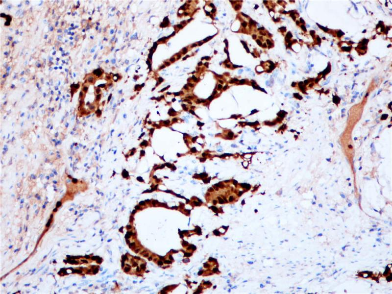
S100P 重组兔单克隆抗体

S100P是一种由95个氨基酸组成的蛋白质,是S100家族的成员。S100P通过与Ca2+、晚期糖基化终产物受体、细胞骨架埃兹蛋白(ezrin)、钙周期结合蛋白(CacyBP/SIP)和组织蛋白酶D结合,调控肿瘤的生长、转移与侵袭。S100P在人胎盘、胃肠道、食管黏膜中是高表达,但在肝和胰腺中是阴性表达。S100P在乳腺癌、结肠癌、前列腺癌、胰腺癌和肺癌等几种癌症中呈现过表达。S100P与致癌有关。在不同的肿瘤中,S100P能作为一个潜在的诊断指标、预后和预测指标及治疗靶点。

Specifications

目录号
BX50013
克隆号
BP6018
阳性对照
胎盘
亚细胞定位
细胞质/细胞核
组织类型
FFPE
修复方式
HIER
稀释比
1:100-1:200
规格
100μl/vial, 1ml/vial
用途
RUO

Reference

1.Jiang H et.al. J Cancer Res Clin Oncol. 2012 Jan;138(1):1-9.
2.Seppo Parkkila et.al. BMC Clin Pathol. 2008; 8: 2.

Support Documents

Contact Us

Address
浙江省杭州市滨江区滨安路688号天和高科技园区5号楼1303室
310052
Phone & Fax
+400-8769-741
+0571-88177680
Web & Mail

Follow Us

Scan QR Codes on Your Phone