关于我们

喜讯 | 百凌生物染色方案入选 NordiQC 推荐染色流程

发布时间: 2023-01-11

Biolynx 染色方案获 NordiQC 推荐

 

在最新公布的 NordiQC 2022秋季免疫组化室间质评项目(Run66&B34)中,百凌生物自主研发的Napsin A、SYP(Synaptophysin)抗体在百凌生物全自动免疫组化染色平台LYNX480上所采用的染色流程被Nordi QC纳入推荐染色流程(Recommended Protocol),标志着百凌生物免疫组化抗体试剂、自动化染色平台及染色流程在内的完整解决方案染色结果,获得了国际病理权威机构的认可。

 

undefined
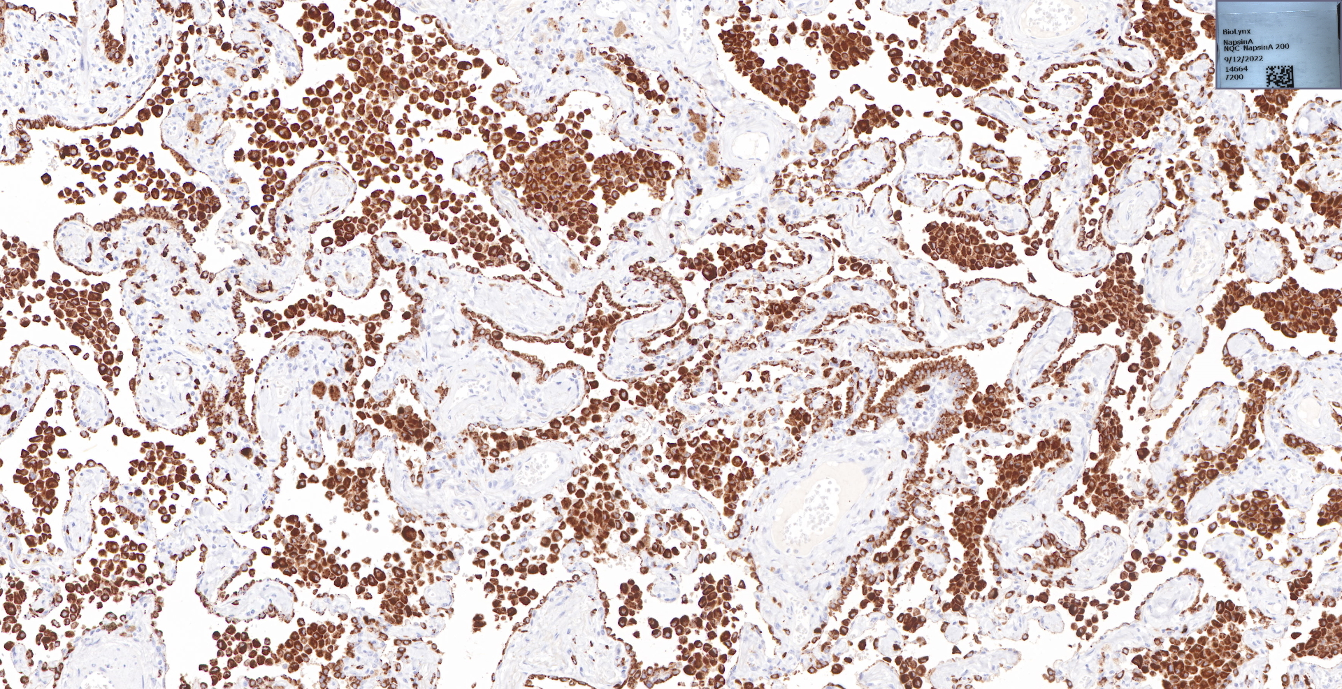
NordiQC Napsin A 推荐染色流程

 

undefined
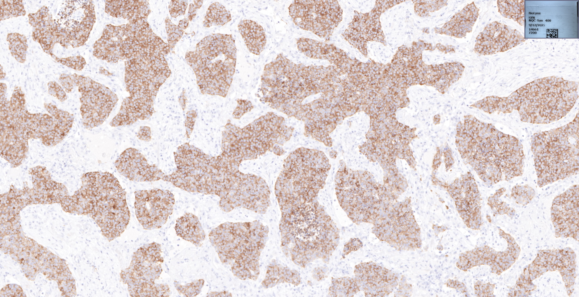
NordiQC SYP推荐染色流程

 

Biolynx 参评成绩

此外,百凌生物ER、HER2、SYP (Synaptophysin)、SMH (Smooth Muscle Myosin)、Napsin A、BSAP (Pax-5)、CD10共计7个参与本轮质评的靶标,同样斩获优良(Optimal / Good)的评估结果。

undefined
百凌生物 2022 RUN66&B34 免疫组化测评活动成绩

 

百凌生物优质染色结果得益于原研自产的BP-CLONE®基因工程抗体在百凌生物LYNX480全自动免疫组化仪上进行了全面的适配性验证。百凌生物BP-CLONE®基因工程抗体开发自百凌生物自有专利技术平台——R2mAb®,具有特异性佳、背景干净、批间一致性高的三重优势,能够为病理学家提供更精准、更可靠的染色结果。

 

参评染色结果展示

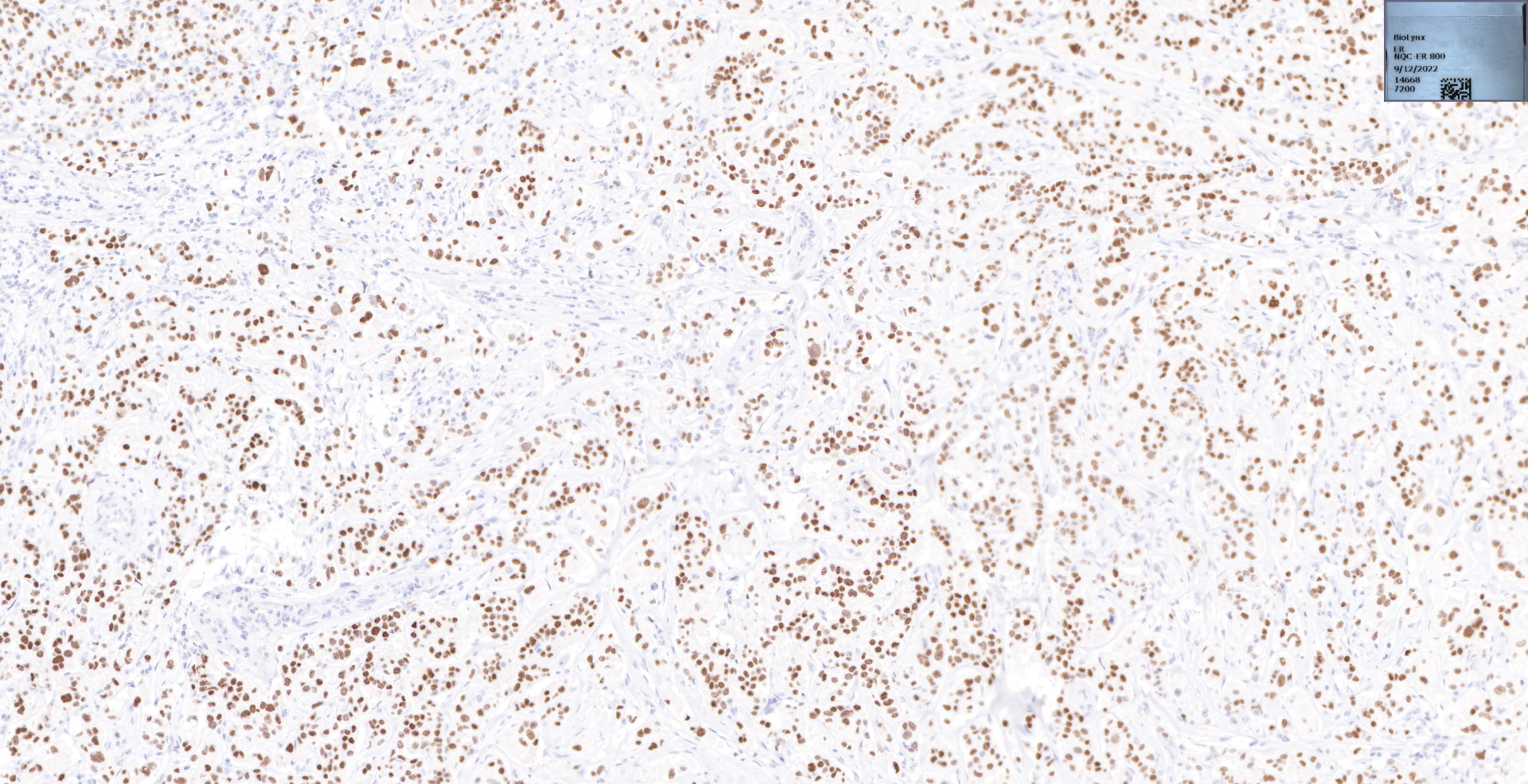
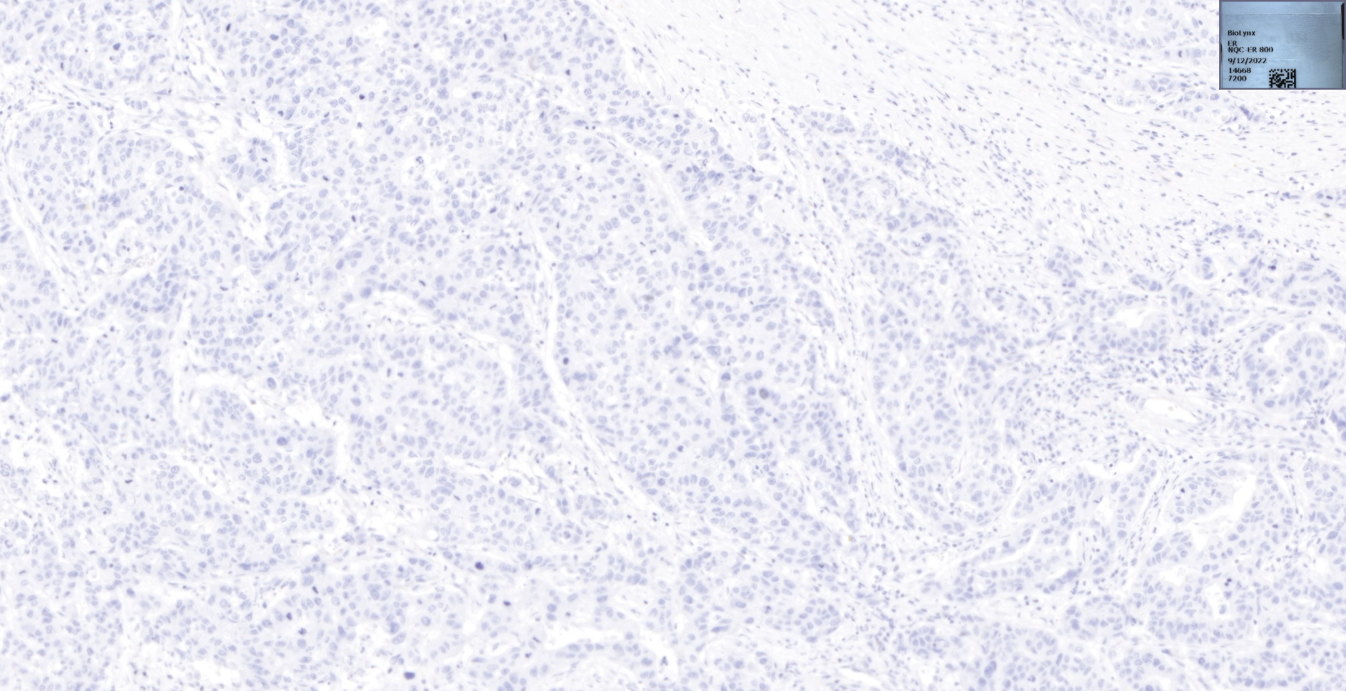
ER

ER阴性乳腺癌.jpg
BP6026 ER阴性乳腺癌染色
ER 弱到强乳腺癌.jpg
BP6026 ER弱到强表达乳腺癌染色
ER中到强乳腺癌.jpg
BP6026 ER中到强表达乳腺癌染色

 

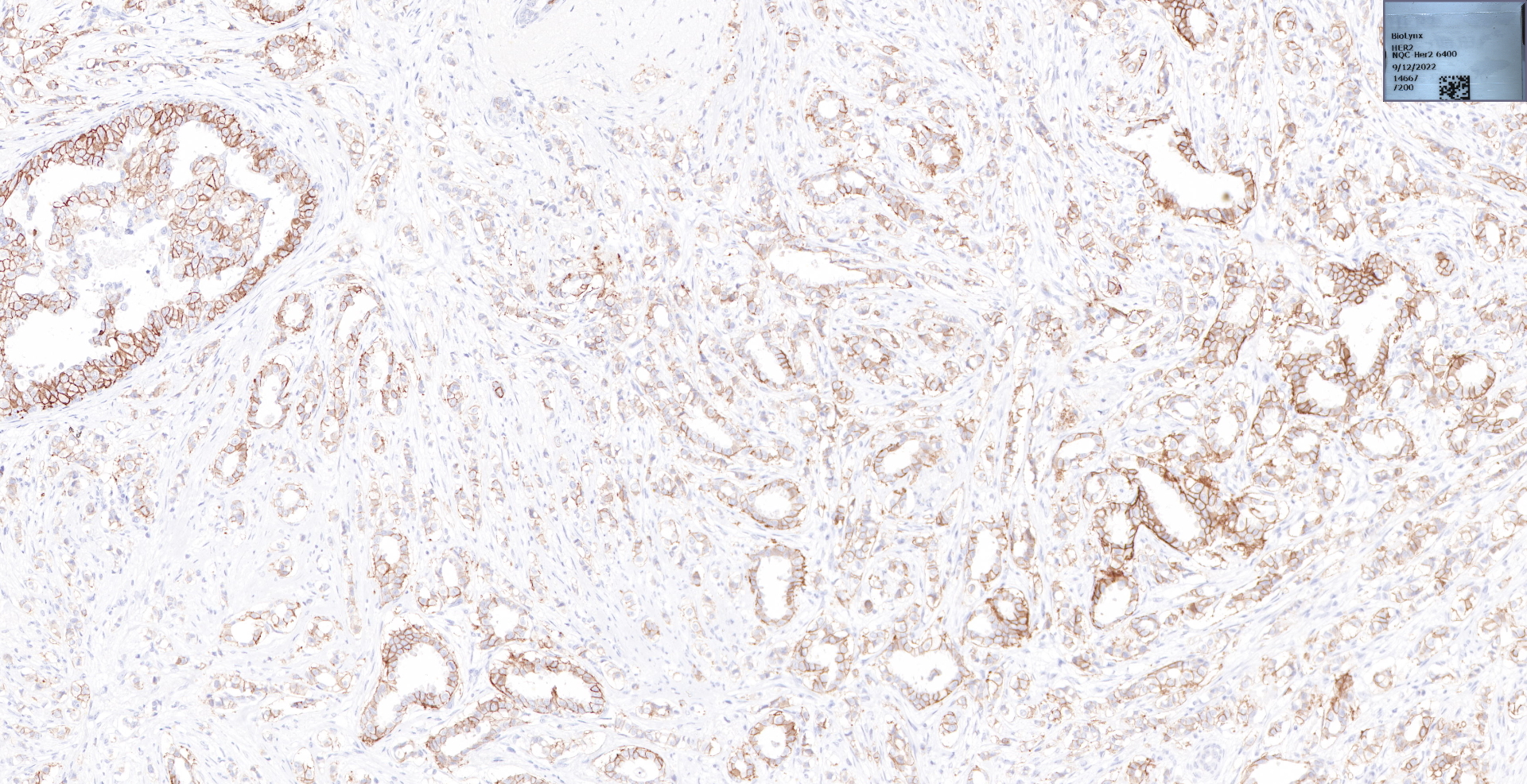
HER2 IHC

Her2 3+.jpg
BP6020 HER2 3+乳腺癌染色
Her2 2+.jpg
BP6020 HER2 2+乳腺癌染色
Her2 1-2+.jpg
BP6020 HER2 1-2+乳腺癌染色
Her2 0-1+.jpg
BP6020 HER2 0-1+乳腺癌染色

 

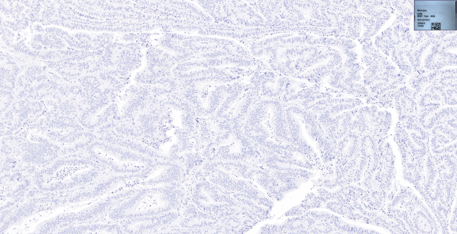
SYP(Synaptophysin)

结肠腺癌.jpg
BP6053 Synaptophysin结肠腺癌染色
神经内分泌癌.jpg
BP6053 Synaptophysin神经内分泌癌染色
十二指肠.jpg
BP6053 Synaptophysin十二指肠染色
小细胞肺癌.jpg
BP6053 Synaptophysin小细胞肺癌染色

 

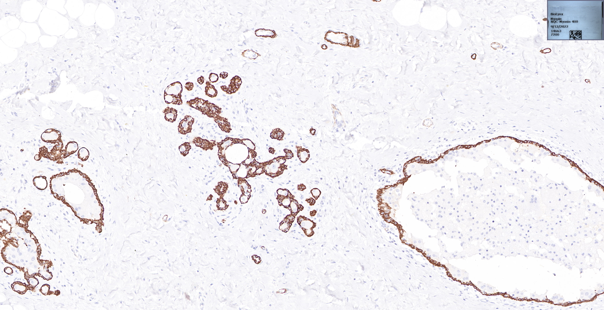
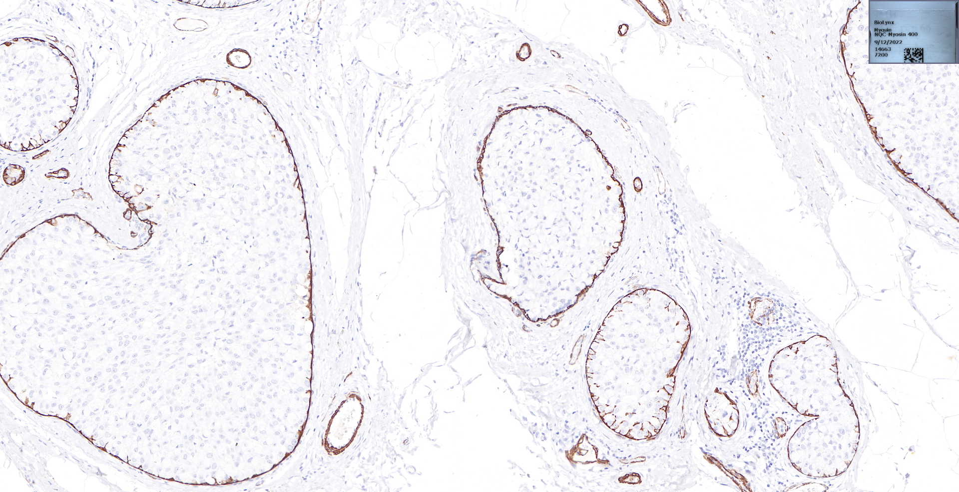
SMH (Smooth Muscle Myosin)

undefined
BP6091 Smooth Muscle Myosin乳腺导管癌染色
乳腺增生.jpg
BP6091 Smooth Muscle Myosin乳腺增生染色
原位乳腺导管癌.jpg
标题

 

Napsin A

undefined
BP6083 Napsin A 肺染色
肺鳞癌.jpg
BP6083 Napsin A 肺鳞癌染色
肺腺癌.jpg
BP6083 Napsin A 肺腺癌染色

 

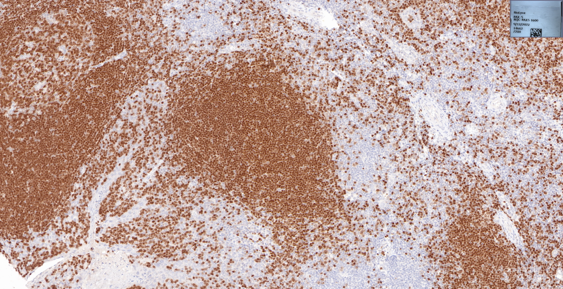
BSAP (PAX-5) 

扁桃体.jpg
BPM6172 PAX-5扁桃体染色
霍奇金淋巴瘤.jpg
BPM6172 PAX-5霍奇金淋巴瘤染色
阑尾.jpg
BPM6172 PAX-5阑尾染色
弥漫大B细胞淋巴瘤.jpg
BPM6172 PAX-5弥漫大B细胞淋巴瘤染色

 

CD10 

滤泡性淋巴瘤.jpg
BP6059 CD10滤泡性淋巴瘤染色
弥漫大B细胞淋巴瘤(GCB).jpg
BP6059 CD10弥漫大B细胞淋巴瘤(GCB型)染色
弥漫大B细胞淋巴瘤(non-GCB).jpg
BP6059 CD10弥漫大B细胞淋巴瘤(non-GCB型)染色
肾透明细胞癌.jpg
BP6059 CD10 肾透明细胞癌染色

 

Contact Us

Address
浙江省杭州市滨江区滨安路688号天和高科技园区5号楼1303室
310052
Phone & Fax
+400-8769-741
+0571-88177680
Web & Mail

Follow Us

Scan QR Codes on Your Phone